别名:Calcineurin B homologous protein 3, Tescalcin, TSC, TESC, CHP3应用:WB,IHC,FCM
反应种属:Human, Mouse
规格:50μl/100μl
| Description |
|---|
| Essential for the coupling of ERK cascade activation with the expression of ETS family genes in megakaryocytic differentiation. |
| Specification | |
|---|---|
| Aliases | Calcineurin B homologous protein 3, Tescalcin, TSC, TESC, CHP3 |
| Entrez GeneID | 54997 |
| Swissprot | Q96BS2 |
| WB Predicted band size | 24.8kDa |
| Host/Isotype | Rabbit IgG |
| Storage | Store at 4°C short term. Aliquot and store at -20°C long term. Avoid freeze/thaw cycles. |
| Species Reactivity | Human, Mouse |
| Immunogen | This TESC antibody is generated from rabbits immunized with a KLH conjugated synthetic peptide between 88-116 amino acids from the C-terminal region of human TESC. |
| Formulation | Purified polyclonal antibody supplied in PBS with 0.05% sodium azide. This antibody is purified through a protein A column, followed by peptide affinity purification. |
| Application | |
|---|---|
| WB | 1/1000 |
| IHC | 1/100-1/500 |
| FCM | 1/10-1/50 |
![]() |
Western blot analysis of TESC Antibody (C-term) (Cat. #P30635) in mouse cerebellum tissue lysates (35ug/lane).TESC (arrow) was detected using the purified Pab. |
![]() |
TESC Antibody (C-term) (Cat. #P30635) flow cytometric analysis of HepG2 cells (right histogram) compared to a negative control cell (left histogram).FITC-conjugated goat-anti-rabbit secondary antibodies were used for the analysis. |
![]() |
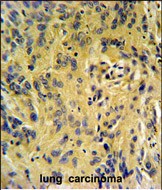
TESC Antibody (C-term) (Cat. #P30635) IHC analysis in formalin fixed and paraffin embedded human lung carcinoma followed by peroxidase conjugation of the secondary antibody and DAB staining. This data demonstrates the use of the TESC Antibody (C-term) for immunohistochemistry. Clinical relevance has not been evaluated. |
本公司的所有产品仅用于科学研究或者工业应用等非医疗目的,不可用于人类或动物的临床诊断或治疗,非药用,非食用。
暂无评论
本公司的所有产品仅用于科学研究或者工业应用等非医疗目的,不可用于人类或动物的临床诊断或治疗,非药用,非食用。
中文



发表回复