别名:Tuftelin-interacting protein 11, Septin and tuftelin-interacting protein 1, STIP-1, TFIP11, STIP应用:WB,IHC
反应种属:Human, Mouse, Rat
规格:50μl/100μl
| Description |
|---|
| TFIP11 is a nuclear speckle-localized protein that may play a role in spliceosome disassembly in Cajal bodies (Stanek et al., 2008 [PubMed 18367544]). |
| Specification | |
|---|---|
| Aliases | Tuftelin-interacting protein 11, Septin and tuftelin-interacting protein 1, STIP-1, TFIP11, STIP |
| Entrez GeneID | 24144 |
| Swissprot | Q9UBB9 |
| WB Predicted band size | 96.8kDa |
| Host/Isotype | Rabbit IgG |
| Storage | Store at 4°C short term. Aliquot and store at -20°C long term. Avoid freeze/thaw cycles. |
| Species Reactivity | Human, Mouse, Rat |
| Immunogen | This TFIP11 antibody is generated from rabbits immunized with a KLH conjugated synthetic peptide between 42-70 amino acids from the N-terminal region of human TFIP11. |
| Formulation | Purified polyclonal antibody supplied in PBS with 0.05% sodium azide. This antibody is purified through a protein A column, followed by peptide affinity purification. |
| Application | |
|---|---|
| WB | 1/1000 |
| IHC | 1/100-1/500 |
![]() |
TFIP11 Antibody (N-term) (Cat. #P32355) western blot analysis in Hela,K562 cell line and rat spleen tissue lysates (35ug/lane).This demonstrates the TFIP11 antibody detected the TFIP11 protein (arrow). |
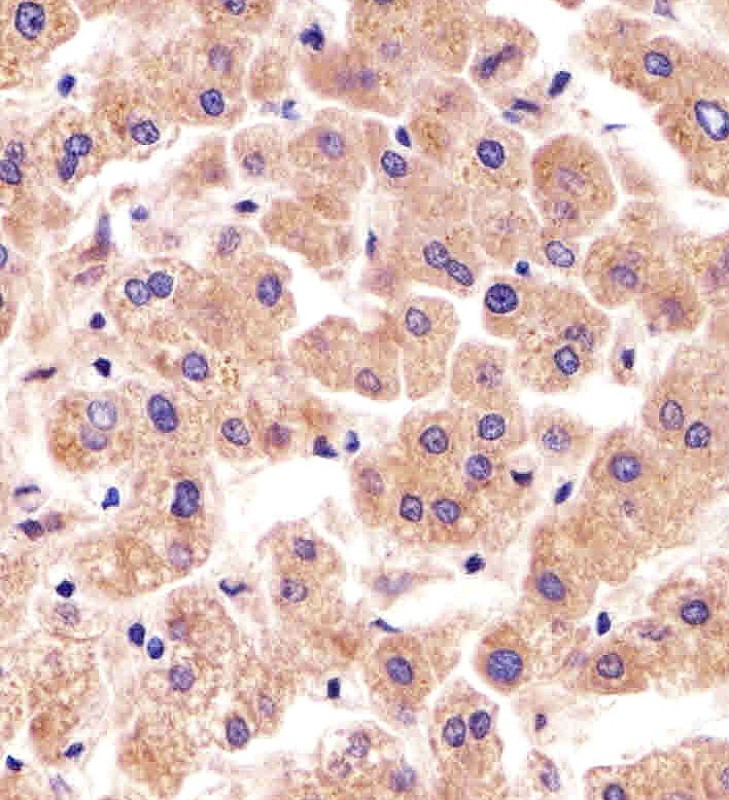
![]() |
Immunohistochemical analysis of paraffin-embedded H. liver section using TFIP11 Antibody (N-term)(Cat#P32355). P32355 was diluted at 1:25 dilution. A undiluted biotinylated goat polyvalent antibody was used as the secondary, followed by DAB staining. |
本公司的所有产品仅用于科学研究或者工业应用等非医疗目的,不可用于人类或动物的临床诊断或治疗,非药用,非食用。
暂无评论
本公司的所有产品仅用于科学研究或者工业应用等非医疗目的,不可用于人类或动物的临床诊断或治疗,非药用,非食用。
中文


发表回复