别名:Transforming growth factor beta-2; TGF-beta-2; BSC-1 cell growth inhibitor; Cetermin; Glioblastoma-derived T-cell suppressor factor; G-TSF; Polyergin应用:WB,IHC
反应种属:Human,Mouse,Rat
规格:50μl/100μl
| Description |
|---|
| Transforming growth factor beta-2 proprotein: Precursor of the Latency-associated peptide (LAP) and Transforming growth factor beta-2 (TGF-beta-2) chains, which constitute the regulatory and active subunit of TGF-beta-2, respectively. |
| Specification | |
|---|---|
| Aliases | Transforming growth factor beta-2; TGF-beta-2; BSC-1 cell growth inhibitor; Cetermin; Glioblastoma-derived T-cell suppressor factor; G-TSF; Polyergin |
| Entrez GeneID | 7042 |
| Swissprot | P61812 |
| WB Predicted band size | Calculated MW: 48 kDa; Observed MW: 47,12 kDa |
| Host/Isotype | Rabbit IgG |
| Storage | Store at 4°C short term. Aliquot and store at -20°C long term. Avoid freeze/thaw cycles. |
| Species Reactivity | Human,Mouse,Rat |
| Immunogen | Synthetic peptide from human protein at AA range: 61-110 |
| Formulation | Liquid in PBS containing 50% glycerol, 0.5% BSA and 0.02% sodium azide, pH 7.3. |
| Application | |
|---|---|
| WB | 1/500-1/1000 |
| IHC | 1/50-1/100 |
| ELISA | 1/10000 |
![]() |
Western blot analysis of TGF beta 2 in mouse kidney, 293T, mouse lung lysates using TGF beta 2 antibody. |
![]() |
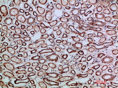
Immunohistochemistry analysis of paraffin-embedded Human kidney using TGF beta 2 antibody.High-pressure and temperature Sodium Citrate pH 6.0 was used for antigen retrieval. |
![]() |
Immunohistochemistry analysis of paraffin-embedded Human kidney using TGF beta 2 antibody. High-pressure and temperature Sodium Citrate pH 6.0 was used for antigen retrieval. |
![]() |
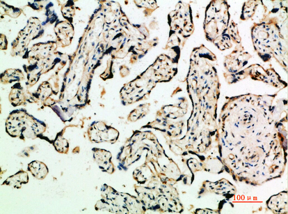
Immunohistochemistry analysis of paraffin-embedded Human placenta using TGF beta 2 antibody.High-pressure and temperature Sodium Citrate pH 6.0 was used for antigen retrieval. |
![]() |
Immunohistochemistry analysis of paraffin-embedded Human placenta using TGF beta 2 antibody.High-pressure and temperature Sodium Citrate pH 6.0 was used for antigen retrieval. |
本公司的所有产品仅用于科学研究或者工业应用等非医疗目的,不可用于人类或动物的临床诊断或治疗,非药用,非食用。
暂无评论
本公司的所有产品仅用于科学研究或者工业应用等非医疗目的,不可用于人类或动物的临床诊断或治疗,非药用,非食用。
中文





发表回复