别名:Protein-glutamine gamma-glutamyltransferase 6, Transglutaminase Y, TGY, TGase Y, Transglutaminase-3-like, TGase-3-like, Transglutaminase-6, TG6, TGase-6, TGM6, TGM3L应用:WB,IHC,FCM
反应种属:Human
规格:50μl/100μl
| Description |
|---|
| Catalyzes the cross-linking of proteins and the conjugation of polyamines to proteins (By similarity). |
| Specification | |
|---|---|
| Aliases | Protein-glutamine gamma-glutamyltransferase 6, Transglutaminase Y, TGY, TGase Y, Transglutaminase-3-like, TGase-3-like, Transglutaminase-6, TG6, TGase-6, TGM6, TGM3L |
| Entrez GeneID | 343641 |
| Swissprot | O95932 |
| WB Predicted band size | 79.3kDa |
| Host/Isotype | Rabbit IgG |
| Storage | Store at 4°C short term. Aliquot and store at -20°C long term. Avoid freeze/thaw cycles. |
| Species Reactivity | Human |
| Immunogen | This TGM6 antibody is generated from rabbits immunized with a KLH conjugated synthetic peptide between 394-422 amino acids from the Central region of human TGM6. |
| Formulation | Purified polyclonal antibody supplied in PBS with 0.05% sodium azide. This antibody is purified through a protein A column, followed by peptide affinity purification. |
| Application | |
|---|---|
| WB | 1/1000 |
| IHC | 1/100-1/500 |
| FCM | 1/10-1/50 |
![]() |
TGM6 Antibody (Center) (Cat. #P30903) western blot analysis in HL-60 cell line lysates (35ug/lane).This demonstrates the TGM6 antibody detected the TGM6 protein (arrow). |
![]() |
TGM6 Antibody (Center) (Cat. #P30903) flow cytometric analysis of HL-60 cells (right histogram) compared to a negative control cell (left histogram).FITC-conjugated goat-anti-rabbit secondary antibodies were used for the analysis. |
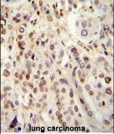
![]() |
TGM6 antibody (Center) (Cat. #P30903) immunohistochemistry analysis in formalin fixed and paraffin embedded human lung carcinoma followed by peroxidase conjugation of the secondary antibody and DAB staining. This data demonstrates the use of the TGM6 antibody (Center) for immunohistochemistry. Clinical relevance has not been evaluated. |
本公司的所有产品仅用于科学研究或者工业应用等非医疗目的,不可用于人类或动物的临床诊断或治疗,非药用,非食用。
暂无评论
本公司的所有产品仅用于科学研究或者工业应用等非医疗目的,不可用于人类或动物的临床诊断或治疗,非药用,非食用。
中文



发表回复