别名:TSH1应用:WB,IHC
反应种属:Human, Mouse
规格:50μl/100μl
| Description |
|---|
| THNSL1 (threonine synthase-like 1), also known as TSH1, is a 743 amino acid member of the serine/threonine dehydratase family. Expressed primarily in brain and endocrine glands, THNSL1 is thought to function as a pyridoxal-5′-phosphate (PLP)-dependent enzyme that uses pyridoxal phosphate as a cofactor. THNSL1 shares similarity with bacterial threonine synthases (which synthesize threonine from aspartic acid), suggesting that THNSL1 may have once participated in de novo threonine synthesis within the body, but has since lost its original metabolic role. |
| Specification | |
|---|---|
| Aliases | TSH1 |
| Swissprot | Q8IYQ7 |
| WB Predicted band size | 83 kDa |
| Host/Isotype | Rabbit IgG |
| Storage | Store at 4°C short term. Aliquot and store at -20°C long term. Avoid freeze/thaw cycles. |
| Species Reactivity | Human, Mouse |
| Immunogen | Fusion protein of human THNSL1 |
| Formulation | pH7.4 PBS, 0.05% NaN3, 40% Glycerol |
| Application | |
|---|---|
| WB | 1/500-1/2000 |
| IHC | 1/50-1/300 |
| ELISA | 1/5000-1/10000 |
![]() |
Gel: 8%SDS-PAGE, Lysate: 40 μg, Lane 1-7: 231, K562, TM4 cell, Mouse kidney tissue, Mouse liver tissue, Mouse brain tissue, Hela cell lysates, Primary antibody: P03053(THNSL1 Antibody) at dilution 1/500, Secondary antibody: Goat anti rabbit IgG at 1/8000 dilution, Exposure time: 1 minute |
![]() |
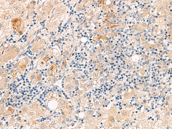
The image is immunohistochemistry of paraffin-embedded Human liver cancer tissue using P03053(THNSL1 Antibody) at dilution 1/70. (Original magnification: ×200) |
![]() |
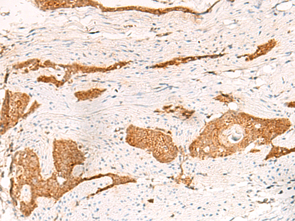
The image is immunohistochemistry of paraffin-embedded Human esophagus cancer tissue using P03053(THNSL1 Antibody) at dilution 1/70. (Original magnification: ×200) |
本公司的所有产品仅用于科学研究或者工业应用等非医疗目的,不可用于人类或动物的临床诊断或治疗,非药用,非食用。
暂无评论
本公司的所有产品仅用于科学研究或者工业应用等非医疗目的,不可用于人类或动物的临床诊断或治疗,非药用,非食用。
中文



发表回复