别名:CD141; Fetomodulin; THBD; THRM; thrombomodulin; TM应用:WB,IHC,ICC,IP
反应种属:Human
规格:50μl/100μl
| Description |
|---|
| Thrombomodulin (TM), also called CD141, is a type I membrane receptor that is specific to endothelial cells. TM has a cysteine-rich extracellular domain with six EGF-like regions. It forms a complex with Thrombin, which activates Protein C to generate activated Protein C (APC), an anticoagulant enzyme. APC together with Protein S inhibits coagulation by inactivating Factors Va and VIIIa. Deletion of the TM gene results in embryonic lethality in mice. |
| Specification | |
|---|---|
| Aliases | CD141; Fetomodulin; THBD; THRM; thrombomodulin; TM |
| Entrez GeneID | 7056 |
| Swissprot | P07204 |
| WB Predicted band size | Calculated MW: 60 kDa; Observed MW: 60 kDa |
| Host/Isotype | Rabbit IgG |
| Storage | Store at 4°C short term. Aliquot and store at -20°C long term. Avoid freeze/thaw cycles. |
| Species Reactivity | Human |
| Immunogen | A synthesized peptide derived from human Thrombomodulin |
| Formulation | Rabbit IgG in phosphate buffered saline , pH 7.4, 150mM NaCl, 0.02% sodium azide and 50% glycerol. |
| Application | |
|---|---|
| IP | 1/20 |
| WB | 1/500-1/1000 |
| IHC | 1/50-1/100 |
| ICC | 1/50-1/200 |
![]() |
Western blot analysis of Thrombomodulin in Human placenta lysates using Thrombomodulin antibody. |
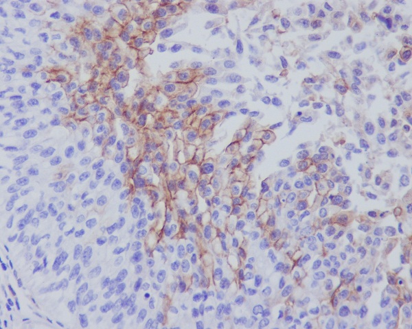
![]() |
Immunohistochemistry analysis of paraffin-embedded Human bladder using Thrombomodulin antibody.High-pressure and temperature Sodium Citrate pH 6.0 was used for antigen retrieval. |
本公司的所有产品仅用于科学研究或者工业应用等非医疗目的,不可用于人类或动物的临床诊断或治疗,非药用,非食用。
暂无评论
本公司的所有产品仅用于科学研究或者工业应用等非医疗目的,不可用于人类或动物的临床诊断或治疗,非药用,非食用。
中文


发表回复