别名:TIP; TIP41; TIPRL1应用:IHC
反应种属:Human, Mouse, Rat
规格:50μl/100μl
| Description |
|---|
| TIPRL is an inhibitory regulator of protein phosphatase-2A (PP2A) (see PPP2CA; MIM 176915), PP4 (see PPP4C; MIM 602035), and PP6 (see PPP6C; MIM 612725) (McConnell et al., 2007 [PubMed 17384681]). |
| Specification | |
|---|---|
| Aliases | TIP; TIP41; TIPRL1 |
| Swissprot | O75663 |
| Host/Isotype | Rabbit IgG |
| Storage | Store at 4°C short term. Aliquot and store at -20°C long term. Avoid freeze/thaw cycles. |
| Species Reactivity | Human, Mouse, Rat |
| Immunogen | Fusion protein of human TIPRL |
| Formulation | pH7.4 PBS, 0.05% NaN3, 40% Glycerol |
| Application | |
|---|---|
| IHC | 1/50-1/300 |
| ELISA | 1/5000-1/10000 |
![]() |
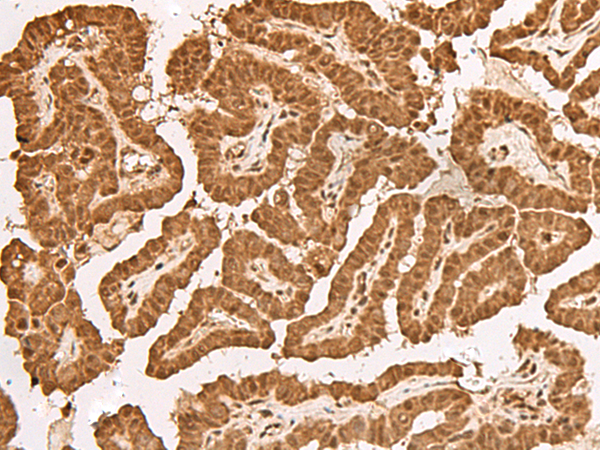
The image is immunohistochemistry of paraffin-embedded Human cervical cancer tissue using P02840(TIPRL Antibody) at dilution 1/65. (Original magnification: ×200) |
![]() |
The image is immunohistochemistry of paraffin-embedded Human thyroid cancer tissue using P02840(TIPRL Antibody) at dilution 1/65. (Original magnification: ×200) |
本公司的所有产品仅用于科学研究或者工业应用等非医疗目的,不可用于人类或动物的临床诊断或治疗,非药用,非食用。
暂无评论
本公司的所有产品仅用于科学研究或者工业应用等非医疗目的,不可用于人类或动物的临床诊断或治疗,非药用,非食用。
中文


发表回复