别名:Transmembrane protein 100, TMEM100应用:WB,IHC,FCM
反应种属:Human, Mouse, Rat
规格:50μl/100μl
| Specification | |
|---|---|
| Aliases | Transmembrane protein 100, TMEM100 |
| Entrez GeneID | 55273 |
| Swissprot | Q9NV29 |
| WB Predicted band size | 14.4kDa |
| Host/Isotype | Rabbit IgG |
| Storage | Store at 4°C short term. Aliquot and store at -20°C long term. Avoid freeze/thaw cycles. |
| Species Reactivity | Human, Mouse, Rat |
| Immunogen | This TMEM100 antibody is generated from rabbits immunized with a KLH conjugated synthetic peptide between 93-122 amino acids from the C-terminal region of human TMEM100. |
| Formulation | Purified polyclonal antibody supplied in PBS with 0.05% sodium azide. This antibody is purified through a protein A column, followed by peptide affinity purification. |
| Application | |
|---|---|
| WB | 1/1000 |
| IHC | 1/100-1/500 |
| FCM | 1/10-1/50 |
![]() |
TMEM100 Antibody (C-term) (Cat. #P30991) western blot analysis in NCI-H460 cell line lysates (35ug/lane).This demonstrates the TMEM100 antibody detected the TMEM100 protein (arrow). |
![]() |
TMEM100 Antibody (C-term) (Cat. #11713b) flow cytometric analysis of NCI-H460 cells (right histogram) compared to a negative control cell (left histogram).FITC-conjugated goat-anti-rabbit secondary antibodies were used for the analysis. |
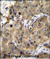
![]() |
TMEM100 Antibody (C-term) (Cat. #P30991)immunohistochemistry analysis in formalin fixed and paraffin embedded human breast carcinoma followed by peroxidase conjugation of the secondary antibody and DAB staining.This data demonstrates the use of TMEM100 Antibody (C-term) for immunohistochemistry. Clinical relevance has not been evaluated. |
本公司的所有产品仅用于科学研究或者工业应用等非医疗目的,不可用于人类或动物的临床诊断或治疗,非药用,非食用。
暂无评论
本公司的所有产品仅用于科学研究或者工业应用等非医疗目的,不可用于人类或动物的临床诊断或治疗,非药用,非食用。
中文



发表回复