别名:Transmembrane protein 214, TMEM214应用:WB,IHC,FCM
反应种属:Human, Mouse, Rat
规格:50μl/100μl
| Specification | |
|---|---|
| Aliases | Transmembrane protein 214, TMEM214 |
| Entrez GeneID | 54867 |
| Swissprot | Q6NUQ4 |
| WB Predicted band size | 77.2kDa |
| Host/Isotype | Rabbit IgG |
| Storage | Store at 4°C short term. Aliquot and store at -20°C long term. Avoid freeze/thaw cycles. |
| Species Reactivity | Human, Mouse, Rat |
| Immunogen | This TMEM214 antibody is generated from rabbits immunized with a KLH conjugated synthetic peptide between 38-66 amino acids from the N-terminal region of human TMEM214. |
| Formulation | Purified polyclonal antibody supplied in PBS with 0.05% sodium azide. This antibody is purified through a protein A column, followed by peptide affinity purification. |
| Application | |
|---|---|
| WB | 1/1000 |
| IHC | 1/100-1/500 |
| FCM | 1/10-1/50 |
![]() |
TMEM214 Antibody (N-term) (Cat. #P30727) western blot analysis in Hela cell line lysates (35ug/lane).This demonstrates the TMEM214 antibody detected the TMEM214 protein (arrow). |
![]() |
TMEM214 Antibody (N-term) (Cat. #P30727) flow cytometric analysis of Hela cells (right histogram) compared to a negative control cell (left histogram).FITC-conjugated goat-anti-rabbit secondary antibodies were used for the analysis. |
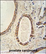
![]() |
TMEM214 antibody (N-term) (Cat. #P30727) immunohistochemistry analysis in formalin fixed and paraffin embedded human prostate carcinoma followed by peroxidase conjugation of the secondary antibody and DAB staining. This data demonstrates the use of the TMEM214 antibody (N-term) for immunohistochemistry. Clinical relevance has not been evaluated. |
本公司的所有产品仅用于科学研究或者工业应用等非医疗目的,不可用于人类或动物的临床诊断或治疗,非药用,非食用。
暂无评论
本公司的所有产品仅用于科学研究或者工业应用等非医疗目的,不可用于人类或动物的临床诊断或治疗,非药用,非食用。
中文



发表回复