别名:CD120b; p75 TNF receptor; p80 TNF alpha receptor; Soluble TNFR1B variant 1; TBP-2; TBPII; TNF R75; TNFBR; TNFR-II; TNFR1B; TNFR2; TNFR80; TNFRII; Tnfrsf1b应用:WB,IHC,ICC,FCM,IP
反应种属:Human,Mouse,Rat
规格:50μl/100μl
| Description |
|---|
| Receptor with high affinity for TNFSF2/TNF-alpha and approximately 5-fold lower affinity for homotrimeric TNFSF1/lymphotoxin-alpha. The TRAF1/TRAF2 complex recruits the apoptotic suppressors BIRC2 and BIRC3 to TNFRSF1B/TNFR2. This receptor mediates most of the metabolic effects of TNF-alpha. Isoform 2 blocks TNF-alpha-induced apoptosis, which suggests that it regulates TNF-alpha function by antagonizing its biological activity. |
| Specification | |
|---|---|
| Aliases | CD120b; p75 TNF receptor; p80 TNF alpha receptor; Soluble TNFR1B variant 1; TBP-2; TBPII; TNF R75; TNFBR; TNFR-II; TNFR1B; TNFR2; TNFR80; TNFRII; Tnfrsf1b |
| Entrez GeneID | 7133 |
| Swissprot | P20333 |
| WB Predicted band size | Calculated MW: 48 kDa; Observed MW: 65 kDa |
| Host/Isotype | Rabbit IgG |
| Storage | Store at 4°C short term. Aliquot and store at -20°C long term. Avoid freeze/thaw cycles. |
| Species Reactivity | Human,Mouse,Rat |
| Immunogen | A synthetic peptide of human TNF Receptor II |
| Formulation | 50mM Tris-Glycine(pH 7.4), 0.15M NaCl, 40% Glycerol, 0.01% Sodium azide and 0.05% BSA |
| Application | |
|---|---|
| IP | 1/20 |
| WB | 1/500-1/1000 |
| IHC | 1/50-1/100 |
| ICC | 1/50-1/200 |
| FCM | 1/50-1/100 |
![]() |
Western blot analysis of TNF Receptor II in 3T3, C6 lysates using TNF Receptor 2 antibody. |
![]() |
Western blot analysis of TNF Receptor II in Jurkat, Hela lysates using TNF Receptor II antibody. |
![]() |
Immunocytochemistry analysis of TNF Receptor II(green) in Hela using TNF Receptor II antibody,and DAPI(blue) |
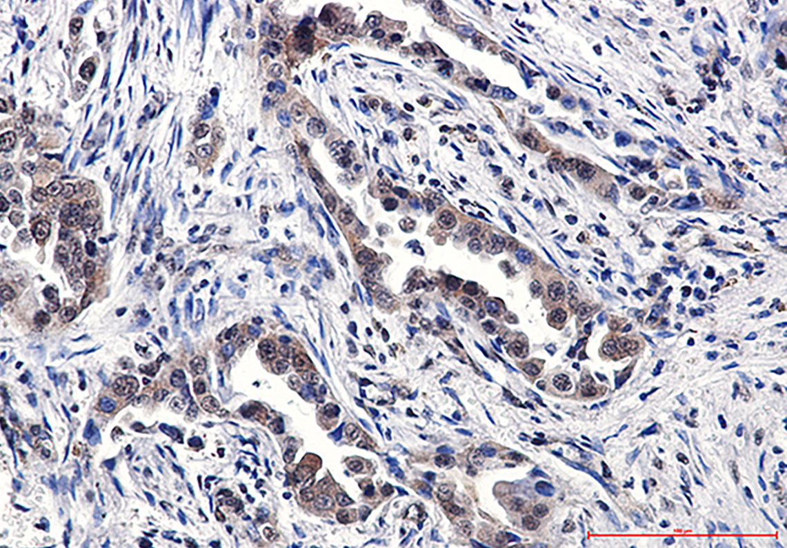
![]() |
Immunohistochemistry analysis of paraffin-embedded Human lung cancer using TNF Receptor II antibody.High-pressure and temperature Sodium Citrate pH 6.0 was used for antigen retrieval. |
本公司的所有产品仅用于科学研究或者工业应用等非医疗目的,不可用于人类或动物的临床诊断或治疗,非药用,非食用。
暂无评论
本公司的所有产品仅用于科学研究或者工业应用等非医疗目的,不可用于人类或动物的临床诊断或治疗,非药用,非食用。
中文




发表回复