别名:LIT; DCR1; TRID; CD263; TRAILR3; TRAIL-R3; DCR1-TNFR应用:IHC
反应种属:Human
规格:50μl/100μl
| Description |
|---|
| The protein encoded by this gene is a member of the TNF-receptor superfamily. This receptor contains an extracellular TRAIL-binding domain and a transmembrane domain, but no cytoplasmic death domain. This receptor is not capable of inducing apoptosis, and is thought to function as an antagonistic receptor that protects cells from TRAIL-induced apoptosis. This gene was found to be a p53-regulated DNA damage-inducible gene. The expression of this gene was detected in many normal tissues but not in most cancer cell lines, which may explain the specific sensitivity of cancer cells to the apoptosis-inducing activity of TRAIL. |
| Specification | |
|---|---|
| Aliases | LIT; DCR1; TRID; CD263; TRAILR3; TRAIL-R3; DCR1-TNFR |
| Swissprot | O14798 |
| Host/Isotype | Rabbit IgG |
| Storage | Store at 4°C short term. Aliquot and store at -20°C long term. Avoid freeze/thaw cycles. |
| Species Reactivity | Human |
| Immunogen | Fusion protein of human TNFRSF10C |
| Formulation | pH7.4 PBS, 0.05% NaN3, 40% Glycerol |
| Application | |
|---|---|
| IHC | 1/25-1/100 |
| ELISA | 1/2000-1/5000 |
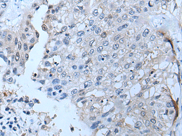
![]() |
The image is immunohistochemistry of paraffin-embedded Human liver cancer tissue using P07246(TNFRSF10C Antibody) at dilution 1/30. (Original magnification: ×200) |
![]() |
The image is immunohistochemistry of paraffin-embedded Human lung cancer tissue using P07246(TNFRSF10C Antibody) at dilution 1/30. (Original magnification: ×200) |
本公司的所有产品仅用于科学研究或者工业应用等非医疗目的,不可用于人类或动物的临床诊断或治疗,非药用,非食用。
暂无评论
本公司的所有产品仅用于科学研究或者工业应用等非医疗目的,不可用于人类或动物的临床诊断或治疗,非药用,非食用。
中文


发表回复