别名:TN-W应用:IHC
反应种属:Human, Mouse
规格:50μl/100μl
| Description |
|---|
| This protein is involved in neurite outgrowth and cell migration in hippocampal explants.It has three EGF-like domains, one fibrinogen C-terminal domain and nine fibronectin type III domains.Tenascins are extracellular matrix proteins present during the development of organisms as well as in pathological conditions.Tenascin-W, the fourth and last member of the tenascin family remains the least well-characterized one. |
| Specification | |
|---|---|
| Aliases | TN-W |
| Swissprot | Q9UQP3 |
| Host/Isotype | Rabbit IgG |
| Storage | Store at 4°C short term. Aliquot and store at -20°C long term. Avoid freeze/thaw cycles. |
| Species Reactivity | Human, Mouse |
| Immunogen | Synthetic peptide of human TNN |
| Formulation | pH7.4 PBS, 0.05% NaN3, 40% Glycerol |
| Application | |
|---|---|
| IHC | 1/50-1/200 |
| ELISA | 1/3000-1/10000 |
![]() |
The image is immunohistochemistry of paraffin-embedded Human brain tissue using P04486(TNN Antibody) at dilution 1/40. (Original magnification: ×200) |
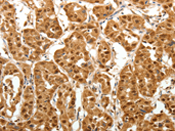
![]() |
The image is immunohistochemistry of paraffin-embedded Human lung cancer tissue using P04486(TNN Antibody) at dilution 1/40. (Original magnification: ×200) |
本公司的所有产品仅用于科学研究或者工业应用等非医疗目的,不可用于人类或动物的临床诊断或治疗,非药用,非食用。
暂无评论
本公司的所有产品仅用于科学研究或者工业应用等非医疗目的,不可用于人类或动物的临床诊断或治疗,非药用,非食用。
中文


发表回复