别名:Mitochondrial import receptor subunit TOM70, Mitochondrial precursor proteins import receptor, Translocase of outer membrane 70 kDa subunit, TOMM70A, KIAA0719, TOM70应用:WB,IHC,FCM
反应种属:Human
规格:50μl/100μl
| Description |
|---|
| The translocase of outer mitochondrial membrane (TOM) complex is a multisubunit complex involved in the recognition, unfolding, and translocation of preproteins into the mitochondria. |
| Specification | |
|---|---|
| Aliases | Mitochondrial import receptor subunit TOM70, Mitochondrial precursor proteins import receptor, Translocase of outer membrane 70 kDa subunit, TOMM70A, KIAA0719, TOM70 |
| Entrez GeneID | 9868 |
| Swissprot | O94826 |
| WB Predicted band size | 67.5kDa |
| Host/Isotype | Rabbit IgG |
| Storage | Store at 4°C short term. Aliquot and store at -20°C long term. Avoid freeze/thaw cycles. |
| Species Reactivity | Human |
| Immunogen | This TOMM70A antibody is generated from rabbits immunized with a KLH conjugated synthetic peptide between 579-608 amino acids from the C-terminal region of human TOMM70A. |
| Formulation | Purified polyclonal antibody supplied in PBS with 0.05% sodium azide. This antibody is prepared by Saturated Ammonium Sulfate (SAS) precipitation followed by dialysis against PBS. |
| Application | |
|---|---|
| WB | 1/1000 |
| IHC | 1/100-1/500 |
| FCM | 1/10-1/50 |
![]() |
Western blot analysis of TOMM70A antibody (C-term) (Cat. #P30402) in HL60 cell line lysates (35ug/lane). TOMM70A (arrow) was detected using the purified Pab. |
![]() |
Flow cytometric analysis of hela cells using TOMM70A Antibody (C-term)(bottom histogram) compared to a negative control cell (top histogram)FITC-conjugated goat-anti-rabbit secondary antibodies were used for the analysis. |
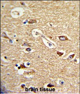
![]() |
Formalin-fixed and paraffin-embedded human brain tissue reacted with TOMM70A Antibody (C-term), which was peroxidase-conjugated to the secondary antibody, followed by DAB staining. This data demonstrates the use of this antibody for immunohistochemistry; clinical relevance has not been evaluated. |
本公司的所有产品仅用于科学研究或者工业应用等非医疗目的,不可用于人类或动物的临床诊断或治疗,非药用,非食用。
暂无评论
本公司的所有产品仅用于科学研究或者工业应用等非医疗目的,不可用于人类或动物的临床诊断或治疗,非药用,非食用。
中文



发表回复