别名:应用:IHC
反应种属:Human
规格:50μl/100μl
| Description |
|---|
| This gene encodes a mitochondrial DNA topoisomerase that plays a role in the modification of DNA topology. The encoded protein is a type IB topoisomerase and catalyzes the transient breaking and rejoining of DNA to relieve tension and DNA supercoiling generated in the mitochondrial genome during replication and transcription. Alternatively spliced transcript variants encoding multiple isoforms have been observed for this gene. |
| Specification | |
|---|---|
| Swissprot | Q969P6 |
| Host/Isotype | Rabbit IgG |
| Storage | Store at 4°C short term. Aliquot and store at -20°C long term. Avoid freeze/thaw cycles. |
| Species Reactivity | Human |
| Immunogen | Synthetic peptide of human TOP1MT |
| Formulation | pH7.4 PBS, 0.05% NaN3, 40% Glycerol |
| Application | |
|---|---|
| IHC | 1/5-1/20 |
| ELISA | 1/1000-1/2000 |
![]() |
The image is immunohistochemistry of paraffin-embedded Human gasrtic cancer tissue using P11138(TOP1MT Antibody) at dilution 1/10. (Original magnification: ×200) |
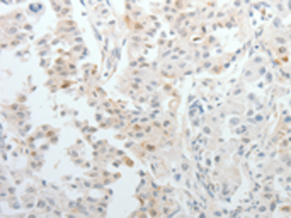
![]() |
The image is immunohistochemistry of paraffin-embedded Human lung cancer tissue using P11138(TOP1MT Antibody) at dilution 1/10. (Original magnification: ×200) |
本公司的所有产品仅用于科学研究或者工业应用等非医疗目的,不可用于人类或动物的临床诊断或治疗,非药用,非食用。
暂无评论
本公司的所有产品仅用于科学研究或者工业应用等非医疗目的,不可用于人类或动物的临床诊断或治疗,非药用,非食用。
中文


发表回复