别名:Trafficking protein particle complex subunit 6A, TRAPP complex subunit 6A, TRAPPC6A应用:WB,IHC,FCM
反应种属:Human
规格:50μl/100μl
| Description |
|---|
| TRAPPC6A is a subunit of the TRAPP I and II complexes. |
| Specification | |
|---|---|
| Aliases | Trafficking protein particle complex subunit 6A, TRAPP complex subunit 6A, TRAPPC6A |
| Entrez GeneID | 79090 |
| Swissprot | O75865 |
| WB Predicted band size | 17.6kDa |
| Host/Isotype | Rabbit IgG |
| Storage | Store at 4°C short term. Aliquot and store at -20°C long term. Avoid freeze/thaw cycles. |
| Species Reactivity | Human |
| Immunogen | This TPC6A antibody is generated from rabbits immunized with a KLH conjugated synthetic peptide between 34-62 amino acids from the N-terminal region of human TPC6A. |
| Formulation | Purified polyclonal antibody supplied in PBS with 0.05% sodium azide. This antibody is purified through a protein A column, followed by peptide affinity purification. |
| Application | |
|---|---|
| WB | 1/1000 |
| IHC | 1/100-1/500 |
| FCM | 1/10-1/50 |
![]() |
TPC6A Antibody (N-term)(Cat. #P30665)western blot analysis in Jurkat cell line lysates (35ug/lane). ?This demonstrates the TPC6A antibody detected the TPC6A protein (arrow). |
![]() |
TPC6A Antibody (N-term) (Cat. #P30665) flow cytometric analysis of Jurkat cells (bottom histogram) compared to a negative control cell (top histogram).FITC-conjugated goat-anti-rabbit secondary antibodies were used for the analysis. |
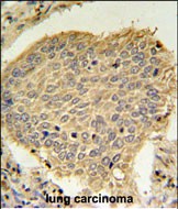
![]() |
TPC6A Antibody (N-term) (Cat. #P30665) IHC analysis in formalin fixed and paraffin embedded human lung carcinoma followed by peroxidase conjugation of the secondary antibody and DAB staining. This data demonstrates the use of the TPC6A Antibody (N-term) for immunohistochemistry. Clinical relevance has not been evaluated. |
本公司的所有产品仅用于科学研究或者工业应用等非医疗目的,不可用于人类或动物的临床诊断或治疗,非药用,非食用。
暂无评论
本公司的所有产品仅用于科学研究或者工业应用等非医疗目的,不可用于人类或动物的临床诊断或治疗,非药用,非食用。
中文



发表回复