别名:D55; hD55; NYDSP25应用:IHC
反应种属:Human
规格:50μl/100μl
| Description |
|---|
| This gene encodes a member of the tumor protein D52-like family of proteins. These proteins are characterized by an N-terminal coiled-coil motif that is used to form homo- and heteromeric complexes with other tumor protein D52-like proteins. The encoded protein may play a role in spermatogenesis. Alternative splicing results in multiple transcript variants. |
| Specification | |
|---|---|
| Aliases | D55; hD55; NYDSP25 |
| Swissprot | Q96J77 |
| Host/Isotype | Rabbit IgG |
| Storage | Store at 4°C short term. Aliquot and store at -20°C long term. Avoid freeze/thaw cycles. |
| Species Reactivity | Human |
| Immunogen | Fusion protein of human TPD52L3 |
| Formulation | pH7.4 PBS, 0.05% NaN3, 40% Glycerol |
| Application | |
|---|---|
| IHC | 1/150-1/300 |
| ELISA | 1/5000-1/10000 |
![]() |
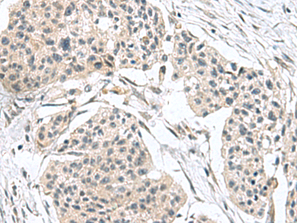
The image is immunohistochemistry of paraffin-embedded Human liver cancer tissue using P03244(TPD52L3 Antibody) at dilution 1/140. (Original magnification: ×200) |
![]() |
The image is immunohistochemistry of paraffin-embedded Human esophagus cancer tissue using P03244(TPD52L3 Antibody) at dilution 1/140. (Original magnification: ×200) |
本公司的所有产品仅用于科学研究或者工业应用等非医疗目的,不可用于人类或动物的临床诊断或治疗,非药用,非食用。
暂无评论
本公司的所有产品仅用于科学研究或者工业应用等非医疗目的,不可用于人类或动物的临床诊断或治疗,非药用,非食用。
中文


发表回复