别名:Triosephosphate isomerase, TIM, Triose-phosphate isomerase, TPI1, TPI应用:WB,IHC,FCM
反应种属:Human, Mouse, Rat
规格:50μl/100μl
| Description |
|---|
| TPI1 is an enzyme, consisting of two identical proteins, which catalyzes the isomerization of glyceraldehydes 3-phosphate (G3P) and dihydroxy-acetone phosphate (DHAP) in glycolysis and gluconeogenesis. |
| Specification | |
|---|---|
| Aliases | Triosephosphate isomerase, TIM, Triose-phosphate isomerase, TPI1, TPI |
| Entrez GeneID | 7167 |
| Swissprot | P60174 |
| WB Predicted band size | 26.7kDa |
| Host/Isotype | Rabbit IgG |
| Storage | Store at 4°C short term. Aliquot and store at -20°C long term. Avoid freeze/thaw cycles. |
| Species Reactivity | Human, Mouse, Rat |
| Immunogen | This TPI1 antibody is generated from rabbits immunized with a KLH conjugated synthetic peptide between 258-286 amino acids from the C-terminal region of human TPI1. |
| Formulation | Purified polyclonal antibody supplied in PBS with 0.05% sodium azide. This antibody is prepared by Saturated Ammonium Sulfate (SAS) precipitation followed by dialysis against PBS. |
| Application | |
|---|---|
| WB | 1/1000 |
| IHC | 1/100-1/500 |
| FCM | 1/10-1/50 |
![]() |
Western blot analysis of lysates from A431, HepG2, LNCaP cell line and mouse testis, rat testis tissue lysates (from left to right), using TPI1 Antibody (C-term) (Cat. #P32614). P32614 was diluted at 1:1000 at each lane.A goat anti-rabbit IgG H&L(HRP) at 1:5000 dilution was used as the secondary antibody. Lysate at 35ug per lane. |
![]() |
TPI1 Antibody (C-term) (Cat. #P32614) flow cytometric analysis of CEM cells (bottom histogram) compared to a negative control cell (top histogram).FITC-conjugated goat-anti-rabbit secondary antibodies were used for the analysis. |
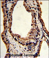
![]() |
Formalin-fixed and paraffin-embedded human prostate carcinoma reacted with TPI1 Antibody (C-term), which was peroxidase-conjugated to the secondary antibody, followed by DAB staining. This data demonstrates the use of this antibody for immunohistochemistry; clinical relevance has not been evaluated. |
本公司的所有产品仅用于科学研究或者工业应用等非医疗目的,不可用于人类或动物的临床诊断或治疗,非药用,非食用。
暂无评论
本公司的所有产品仅用于科学研究或者工业应用等非医疗目的,不可用于人类或动物的临床诊断或治疗,非药用,非食用。
中文



发表回复