别名:Tryptase delta, Delta-tryptase, HmMCP-3-like tryptase III, Mast cell mMCP-7-like, Tryptase-3, TPSD1应用:WB,IHC
反应种属:Human
规格:50μl/100μl
| Description |
|---|
| Tryptases comprise a family of trypsin-like serine proteases, the peptidase family S1. Tryptases are enzymatically active only as heparin-stabilized tetramers, and they are resistant to all known endogenous proteinase inhibitors. Several tryptase genes are clustered on chromosome 16p13.3. These genes are characterized by several distinct features. They have a highly conserved 3′ UTR and contain tandem repeat sequences at the 5′ flank and 3′ UTR which are thought to play a role in regulation of the mRNA stability. Although this gene may be an exception, most of the tryptase genes have an intron immediately upstream of the initiator Met codon, which separates the site of transcription initiation from protein coding sequence. This feature is characteristic of tryptases but is unusual in other genes. Tryptases have been implicated as mediators in the pathogenesis of asthma and other allergic and inflammatory disorders. TPSD1 was once considered to be a pseudogene, although it is now believed to be a functional gene that encodes a protein. |
| Specification | |
|---|---|
| Aliases | Tryptase delta, Delta-tryptase, HmMCP-3-like tryptase III, Mast cell mMCP-7-like, Tryptase-3, TPSD1 |
| Entrez GeneID | 23430 |
| Swissprot | Q9BZJ3 |
| WB Predicted band size | 26.6kDa |
| Host/Isotype | Rabbit IgG |
| Storage | Store at 4°C short term. Aliquot and store at -20°C long term. Avoid freeze/thaw cycles. |
| Species Reactivity | Human |
| Immunogen | This TPSD1 antibody is generated from rabbits immunized with a KLH conjugated synthetic peptide between 164-193 amino acids from the C-terminal region of human TPSD1. |
| Formulation | Purified polyclonal antibody supplied in PBS with 0.05% sodium azide. This antibody is purified through a protein A column, followed by peptide affinity purification. |
| Application | |
|---|---|
| WB | 1/1000-1/2000 |
| IHC | 1/100-1/500 |
![]() |
TPSD1 Antibody (C-term) (Cat. #P30796) western blot analysis in MDA-MB231 cell line lysates (35ug/lane).This demonstrates the TPSD1 antibody detected the TPSD1 protein (arrow). |
![]() |
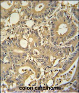
TPSD1 antibody (C-term) (Cat. #P30796) immunohistochemistry analysis in formalin fixed and paraffin embedded human colon carcinoma followed by peroxidase conjugation of the secondary antibody and DAB staining. This data demonstrates the use of the TPSD1 antibody (C-term) for immunohistochemistry. Clinical relevance has not been evaluated. |
本公司的所有产品仅用于科学研究或者工业应用等非医疗目的,不可用于人类或动物的临床诊断或治疗,非药用,非食用。
暂无评论
本公司的所有产品仅用于科学研究或者工业应用等非医疗目的,不可用于人类或动物的临床诊断或治疗,非药用,非食用。
中文


发表回复