别名:Transformer-2 protein homolog beta, TRA-2 beta, TRA2-beta, hTRA2-beta, Splicing factor, arginine/serine-rich 10, Transformer-2 protein homolog B, TRA2B, SFRS10应用:WB,IHC
反应种属:Human
规格:50μl/100μl
| Description |
|---|
| TRA2B is a sequence-specific RNA-binding protein which participates in the control of pre-mRNA splicing. |
| Specification | |
|---|---|
| Aliases | Transformer-2 protein homolog beta, TRA-2 beta, TRA2-beta, hTRA2-beta, Splicing factor, arginine/serine-rich 10, Transformer-2 protein homolog B, TRA2B, SFRS10 |
| Entrez GeneID | 6434 |
| Swissprot | P62995 |
| WB Predicted band size | 33.7kDa |
| Host/Isotype | Rabbit IgG |
| Storage | Store at 4°C short term. Aliquot and store at -20°C long term. Avoid freeze/thaw cycles. |
| Species Reactivity | Human |
| Immunogen | This TRA2B antibody is generated from rabbits immunized with a KLH conjugated synthetic peptide between 208-237 amino acids from the Central region of human TRA2B. |
| Formulation | Purified polyclonal antibody supplied in PBS with 0.05% sodium azide. This antibody is purified through a protein A column, followed by peptide affinity purification. |
| Application | |
|---|---|
| WB | 1/1000 |
| IHC | 1/100-1/500 |
![]() |
TRA2B Antibody (Center) (Cat. #P31512) western blot analysis in CEM cell line lysates (35ug/lane).This demonstrates the TRA2B antibody detected the TRA2B protein (arrow). |
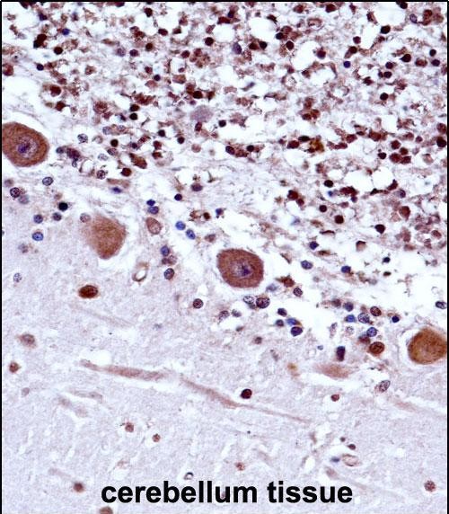
![]() |
TRA2B Antibody (Center) (P31512)immunohistochemistry analysis in formalin fixed and paraffin embedded human cerebellum tissue followed by peroxidase conjugation of the secondary antibody and DAB staining.This data demonstrates the use of TRA2B Antibody (Center) for immunohistochemistry. Clinical relevance has not been evaluated. |
本公司的所有产品仅用于科学研究或者工业应用等非医疗目的,不可用于人类或动物的临床诊断或治疗,非药用,非食用。
暂无评论
本公司的所有产品仅用于科学研究或者工业应用等非医疗目的,不可用于人类或动物的临床诊断或治疗,非药用,非食用。
中文


发表回复