别名:TCF7L2; HMG box transcription factor 4; HTCF-4; T-cell factor-4 variant X2; T-cell factor 4; Transcription factor 7-like 2; TCF-4应用:WB,IHC,ICC,FCM,IP
反应种属:Human,Mouse,Rat
规格:50μl/100μl
| Description |
|---|
| Participates in the Wnt signaling pathway and modulates MYC expression by binding to its promoter in a sequence-specific manner. Acts as repressor in the absence of CTNNB1, and as activator in its presence. Activates transcription from promoters with several copies of the Tcf motif 5′-CCTTTGATC-3′ in the presence of CTNNB1. TLE1, TLE2, TLE3 and TLE4 repress transactivation mediated by TCF7L2/TCF4 and CTNNB1. |
| Specification | |
|---|---|
| Aliases | TCF7L2; HMG box transcription factor 4; HTCF-4; T-cell factor-4 variant X2; T-cell factor 4; Transcription factor 7-like 2; TCF-4 |
| Entrez GeneID | 6934 |
| Swissprot | Q9NQB0 |
| WB Predicted band size | Calculated MW: 68 kDa; Observed MW: 68 kDa |
| Host/Isotype | Rabbit IgG |
| Storage | Store at 4°C short term. Aliquot and store at -20°C long term. Avoid freeze/thaw cycles. |
| Species Reactivity | Human,Mouse,Rat |
| Immunogen | A synthesized peptide derived from human TCF7L2 |
| Formulation | Rabbit IgG in phosphate buffered saline , pH 7.4, 150mM NaCl, 0.02% sodium azide and 50% glycerol. |
| Application | |
|---|---|
| IP | 1/20 |
| WB | 1/500-1/1000 |
| IHC | 1/50-1/100 |
| ICC | 1/50-1/200 |
| FCM | 1/50-1/100 |
![]() |
Western blot analysis of TCF7L2 in Jurkat lysates using Transcription Factor 7 Like 2 antibody. |
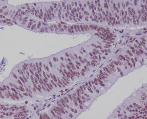
![]() |
Immunohistochemistry analysis of paraffin-embedded Human colonic cancer using TCF7L2 antibody.High-pressure and temperature Sodium Citrate pH 6.0 was used for antigen retrieval. |
本公司的所有产品仅用于科学研究或者工业应用等非医疗目的,不可用于人类或动物的临床诊断或治疗,非药用,非食用。
暂无评论
本公司的所有产品仅用于科学研究或者工业应用等非医疗目的,不可用于人类或动物的临床诊断或治疗,非药用,非食用。
中文


发表回复