别名:TF; Serotransferrin; Transferrin; Beta-1 metal-binding globulin; Siderophilin应用:WB,IHC
反应种属:Human,Mouse,Rat
规格:50μl/100μl
| Description |
|---|
| Transferrins are iron binding transport proteins which can bind two Fe3+ ions in association with the binding of an anion, usually bicarbonate. It is responsible for the transport of iron from sites of absorption and heme degradation to those of storage and utilization. Serum transferrin may also have a further role in stimulating cell proliferation. |
| Specification | |
|---|---|
| Aliases | TF; Serotransferrin; Transferrin; Beta-1 metal-binding globulin; Siderophilin |
| Entrez GeneID | 7018 |
| Swissprot | P02787 |
| WB Predicted band size | Calculated MW: 77 kDa; Observed MW: 77 kDa |
| Host/Isotype | Rabbit IgG |
| Storage | Store at 4°C short term. Aliquot and store at -20°C long term. Avoid freeze/thaw cycles. |
| Species Reactivity | Human,Mouse,Rat |
| Immunogen | The antiserum was produced against synthesized peptide derived from the C-terminal region of human TF. AA range:611-660 |
| Formulation | Liquid in PBS containing 50% glycerol, 0.5% BSA and 0.02% sodium azide, pH 7.3. |
| Application | |
|---|---|
| WB | 1/500-1/1000 |
| IHC | 1/50-1/100 |
| ELISA | 1/10000 |
![]() |
Western blot analysis of Transferrin in K562 lysates using Transferrin antibody. |
![]() |
Western blot analysis of Transferrin in HELA lysates using TF antibody. |
![]() |
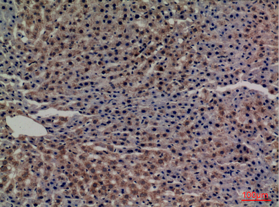
Immunohistochemistry analysis of paraffin-embedded rat liver using Transferrin antibody. High-pressure and temperature Sodium Citrate pH 6.0 was used for antigen retrieval. |
本公司的所有产品仅用于科学研究或者工业应用等非医疗目的,不可用于人类或动物的临床诊断或治疗,非药用,非食用。
暂无评论
本公司的所有产品仅用于科学研究或者工业应用等非医疗目的,不可用于人类或动物的临床诊断或治疗,非药用,非食用。
中文



发表回复