别名:BEC-1; DSPB1; LOST1; TUSC5; IFITMD3应用:WB,IHC
反应种属:Human, Mouse, Rat
规格:50μl/100μl
| Description |
|---|
| Regulates insulin-mediated adipose tissue glucose uptake and transport by modulation of SLC2A4 recycling. Not required for SLC2A4 membrane fusion upon an initial stimulus, but rather is necessary for proper protein recycling during prolonged insulin stimulation. |
| Specification | |
|---|---|
| Aliases | BEC-1; DSPB1; LOST1; TUSC5; IFITMD3 |
| Swissprot | Q8IXB3 |
| WB Predicted band size | 19 kDa |
| Host/Isotype | Rabbit IgG |
| Storage | Store at 4°C short term. Aliquot and store at -20°C long term. Avoid freeze/thaw cycles. |
| Species Reactivity | Human, Mouse, Rat |
| Immunogen | Synthetic peptide of human TRARG1 |
| Formulation | pH7.4 PBS, 0.05% NaN3, 40% Glycerol |
| Application | |
|---|---|
| WB | 1/500-1/2000 |
| IHC | 1/30-1/150 |
| ELISA | 1/2000-1/5000 |
![]() |
Gel: 12%SDS-PAGE, Lysate: 40 μg, Lane 1-2: Lovo cells, 231 cells, Primary antibody: P05469(TRARG1 Antibody) at dilution 1/200, Secondary antibody: Goat anti rabbit IgG at 1/8000 dilution, Exposure time: 40 seconds |
![]() |
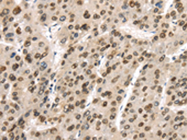
The image is immunohistochemistry of paraffin-embedded Human liver cancer tissue using P05469(TRARG1 Antibody) at dilution 1/40. (Original magnification: ×200) |
![]() |
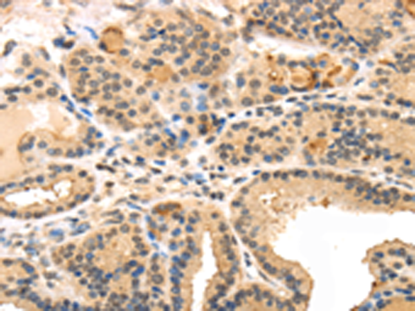
The image is immunohistochemistry of paraffin-embedded Human thyroid cancer tissue using P05469(TRARG1 Antibody) at dilution 1/40. (Original magnification: ×200) |
本公司的所有产品仅用于科学研究或者工业应用等非医疗目的,不可用于人类或动物的临床诊断或治疗,非药用,非食用。
暂无评论
本公司的所有产品仅用于科学研究或者工业应用等非医疗目的,不可用于人类或动物的临床诊断或治疗,非药用,非食用。
中文



发表回复