别名:HLS5; MAIR应用:WB,IHC
反应种属:Human
规格:50μl/100μl
| Description |
|---|
| The protein encoded by this gene is a member of the tripartite motif (TRIM) family. The TRIM motif includes three zinc-binding domains, a RING, a B-box type 1 and a B-box type 2, and a coiled-coil region. The function of this protein has not been identified. |
| Specification | |
|---|---|
| Aliases | HLS5; MAIR |
| Swissprot | Q9UPQ4 |
| WB Predicted band size | 57 kDa |
| Host/Isotype | Rabbit IgG |
| Storage | Store at 4°C short term. Aliquot and store at -20°C long term. Avoid freeze/thaw cycles. |
| Species Reactivity | Human |
| Immunogen | Synthetic peptide of human TRIM35 |
| Formulation | pH7.4 PBS, 0.05% NaN3, 40% Glycerol |
| Application | |
|---|---|
| WB | 1/200-1/1000 |
| IHC | 1/25-1/100 |
| ELISA | 1/1000-1/2000 |
![]() |
Gel: 8%SDS-PAGE, Lysate: 40 μg, Lane 1-2: A375 cells, human fetal muscle tissue, Primary antibody: P12294(TRIM35 Antibody) at dilution 1/550, Secondary antibody: Goat anti rabbit IgG at 1/8000 dilution, Exposure time: 5 seconds |
![]() |
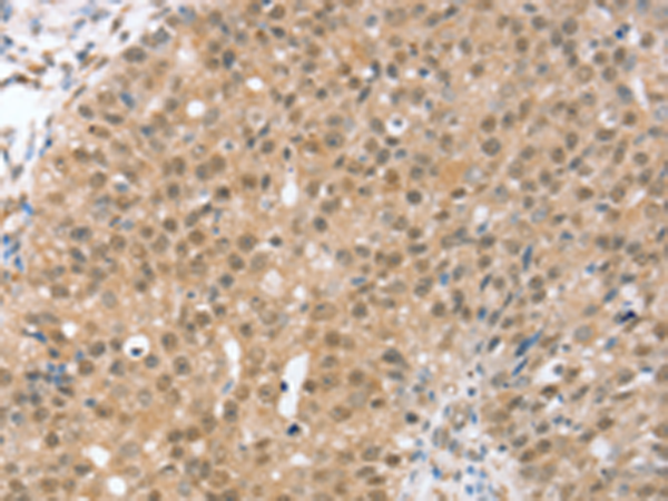
The image is immunohistochemistry of paraffin-embedded Human breast cancer tissue using P12294(TRIM35 Antibody) at dilution 1/35. (Original magnification: ×200) |
本公司的所有产品仅用于科学研究或者工业应用等非医疗目的,不可用于人类或动物的临床诊断或治疗,非药用,非食用。
暂无评论
本公司的所有产品仅用于科学研究或者工业应用等非医疗目的,不可用于人类或动物的临床诊断或治疗,非药用,非食用。
中文


发表回复