别名:GOA; RNF100应用:WB,IHC
反应种属:Human,Mouse
规格:50μl/100μl
| Description |
|---|
| TRIM47 (tripartite motif-containing 47), also known as GOA (Gene overexpressed in astrocytoma protein) or RNF100 (RING finger protein 100), is a 638 amino acid protein that localizes to both cytoplasm and nucleus and belongs to the TRIM/RBCC family. While TRIM47 expression is low in most tissues, it is highly expressed in kidney tubular cells and overexpressed in astrocytoma tumor cells. |
| Specification | |
|---|---|
| Aliases | GOA; RNF100 |
| Entrez GeneID | 91107; |
| Swissprot | Q96LD4 |
| WB Predicted band size | 70kDa |
| Storage | Store at 4°C short term. Aliquot and store at -20°C long term. Avoid freeze/thaw cycles. |
| Species Reactivity | Human,Mouse |
| Immunogen | Synthetic peptide corresponding to a region derived from internal residues of human tripartite motif containing 47 |
| Formulation | Rabbit IgG in pH7.4 PBS, 0.05% NaN3, 40% Glycerol. |
| Application | |
|---|---|
| WB | 1/200-1/1000 |
| IHC | 1/25-1/100 |
![]() |
Gel: 8%SDS-PAGE Lysate: 40ug 293T cellPrimary antibody: 1/300 dilution Secondary antibody dilution: 1/8000Exposure time: 1 minute |
![]() |
Immunohistochemical analysis of paraffin-embedded Human ovarian cancer tissue using P43004 at dilution 1/30. |
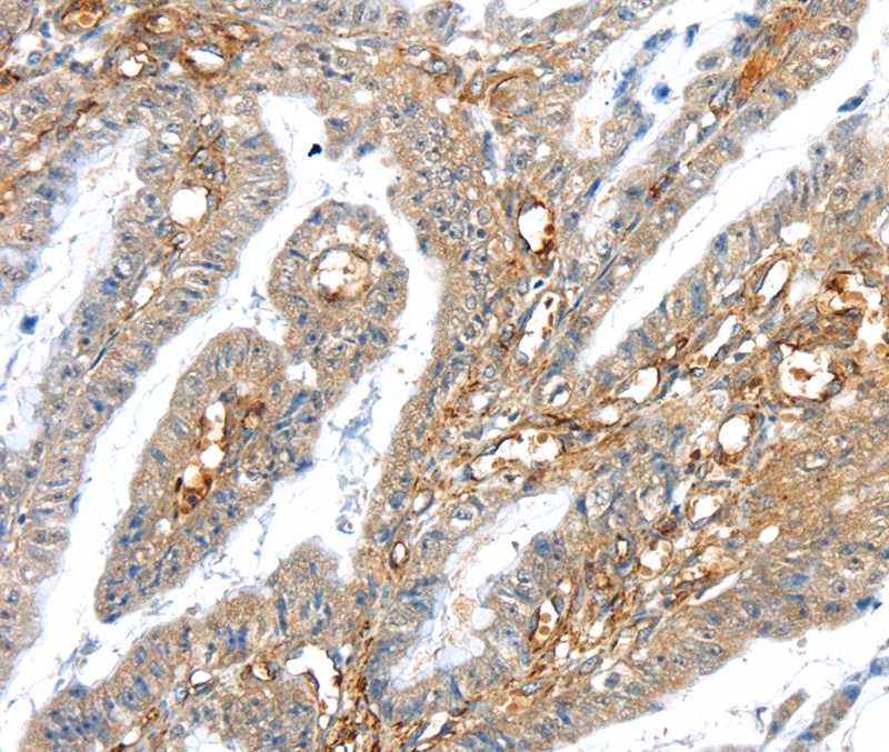
![]() |
Immunohistochemical analysis of paraffin-embedded Human esophagus cancer tissue using P43004 at dilution 1/30. |
本公司的所有产品仅用于科学研究或者工业应用等非医疗目的,不可用于人类或动物的临床诊断或治疗,非药用,非食用。
暂无评论
本公司的所有产品仅用于科学研究或者工业应用等非医疗目的,不可用于人类或动物的临床诊断或治疗,非药用,非食用。
中文



发表回复