别名:LIN41; LIN-41应用:IHC
反应种属:Human, Mouse, Rat
规格:50μl/100μl
| Description |
|---|
| TRIM71 is the mammalian ortholog to the C. elegans heterochronic protein Lin41, a protein that is thought to be important in postembryonic development , and is genetically and biochemically downstream of both Shh and Fgf signaling pathways. Similar to its C. elegans homolog, TRIM71 is a target of the microRNA let-7 and is likely to play a role in mammalian development. Recent experiments have indicated that TRIM71 is an E3 ubiquitin ligase and can interact with the Dicer and the Argonaute proteins Ago1, Ago2, and Ago4. Overexpression and depletion of TRIM71 led to inverse changes in Ago2 protein levels, suggesting TRIM71 can regulate Ago2 turnover. Finally, TRIM71 cooperates with the pluripotency factor Lin-28 in regulating let-7. May be involved in controlling the timing of organ formation during development. |
| Specification | |
|---|---|
| Aliases | LIN41; LIN-41 |
| Swissprot | Q2Q1W2 |
| Host/Isotype | Rabbit IgG |
| Storage | Store at 4°C short term. Aliquot and store at -20°C long term. Avoid freeze/thaw cycles. |
| Species Reactivity | Human, Mouse, Rat |
| Immunogen | Synthetic peptide of human TRIM71 |
| Formulation | pH7.4 PBS, 0.05% NaN3, 40% Glycerol |
| Application | |
|---|---|
| IHC | 1/25-1/100 |
| ELISA | 1/5000-1/10000 |
![]() |
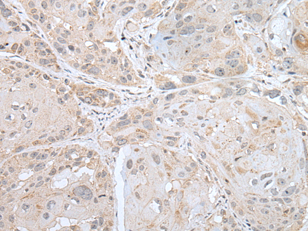
The image is immunohistochemistry of paraffin-embedded Human liver cancer tissue using P12297(TRIM71 Antibody) at dilution 1/25. (Original magnification: ×200) |
![]() |
The image is immunohistochemistry of paraffin-embedded Human esophagus cancer tissue using P12297(TRIM71 Antibody) at dilution 1/25. (Original magnification: ×200) |
本公司的所有产品仅用于科学研究或者工业应用等非医疗目的,不可用于人类或动物的临床诊断或治疗,非药用,非食用。
暂无评论
本公司的所有产品仅用于科学研究或者工业应用等非医疗目的,不可用于人类或动物的临床诊断或治疗,非药用,非食用。
中文


发表回复