别名:H4K20me3; H4F2; HIST; HIST1H4A; Histone H4应用:WB,IHC
反应种属:Human,Mouse,Rat
规格:50μl/100μl
| Description |
|---|
| The chromatin fiber is further compacted through the interaction of a linker histone, H1, with the DNA between the nucleosomes to form higher order chromatin structures. This gene is intronless and encodes a member of the histone H4 family. |
| Specification | |
|---|---|
| Aliases | H4K20me3; H4F2; HIST; HIST1H4A; Histone H4 |
| Entrez GeneID | 121504 |
| Swissprot | P62805 |
| WB Predicted band size | Calculated MW: 11 kDa; Observed MW: 11 kDa |
| Host/Isotype | Rabbit IgG |
| Storage | Store at 4°C short term. Aliquot and store at -20°C long term. Avoid freeze/thaw cycles. |
| Species Reactivity | Human,Mouse,Rat |
| Immunogen | A synthesized peptide derived from human Histone H4 (tri methyl K20) |
| Formulation | Rabbit IgG in phosphate buffered saline , pH 7.4, 150mM NaCl, 0.02% sodium azide and 50% glycerol. |
| Application | |
|---|---|
| WB | 1/500-1/1000 |
| IHC | 1/50-1/100 |
![]() |
Western blot analysis of Histone H4 (tri methyl K20) in HeLa lysates using TriMethyl-Histone H4 (Lys20) antibody. |
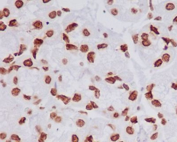
![]() |
Immunohistochemistry analysis of paraffin-embedded Human stomach using Histone H4 (tri methyl K20) antibody.High-pressure and temperature Sodium Citrate pH 6.0 was used for antigen retrieval. |
本公司的所有产品仅用于科学研究或者工业应用等非医疗目的,不可用于人类或动物的临床诊断或治疗,非药用,非食用。
暂无评论
本公司的所有产品仅用于科学研究或者工业应用等非医疗目的,不可用于人类或动物的临床诊断或治疗,非药用,非食用。
中文


发表回复