别名:TRM1应用:WB,IHC
反应种属:Human, Mouse
规格:50μl/100μl
| Description |
|---|
| Dimethylates a single guanine residue at position 26 of most tRNAs using S-adenosyl-L-methionine as donor of the methyl groups. |
| Specification | |
|---|---|
| Aliases | TRM1 |
| Swissprot | Q9NXH9 |
| WB Predicted band size | 72 kDa |
| Host/Isotype | Rabbit IgG |
| Storage | Store at 4°C short term. Aliquot and store at -20°C long term. Avoid freeze/thaw cycles. |
| Species Reactivity | Human, Mouse |
| Immunogen | Fusion protein of human TRMT1 |
| Formulation | pH7.4 PBS, 0.05% NaN3, 40% Glycerol |
| Application | |
|---|---|
| WB | 1/500-1/2000 |
| IHC | 1/30-1/150 |
| ELISA | 1/5000-1/10000 |
![]() |
Gel: 8%SDS-PAGE, Lysate: 40 μg, Lane: Hela cell lysate, Primary antibody: P02782(TRMT1 Antibody) at dilution 1/300, Secondary antibody: Goat anti rabbit IgG at 1/8000 dilution, Exposure time: 1 minute |
![]() |
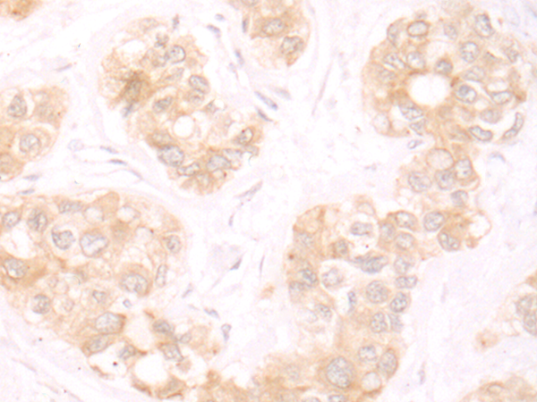
The image is immunohistochemistry of paraffin-embedded Human ovarian cancer tissue using P02782(TRMT1 Antibody) at dilution 1/25. (Original magnification: ×200) |
![]() |
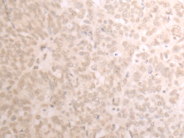
The image is immunohistochemistry of paraffin-embedded Human liver cancer tissue using P02782(TRMT1 Antibody) at dilution 1/25. (Original magnification: ×200) |
本公司的所有产品仅用于科学研究或者工业应用等非医疗目的,不可用于人类或动物的临床诊断或治疗,非药用,非食用。
暂无评论
本公司的所有产品仅用于科学研究或者工业应用等非医疗目的,不可用于人类或动物的临床诊断或治疗,非药用,非食用。
中文



发表回复