别名:TYW2; TRM12应用:WB,IHC
反应种属:Human, Rat
规格:50μl/100μl
| Description |
|---|
| Wybutosine (yW) is a hypermodified guanosine at the 3-prime position adjacent to the anticodon of phenylalanine tRNA that stabilizes codon-anticodon interactions during decoding on the ribosome. TRMT12 is the human homolog of a yeast gene essential for yW synthesis (Noma and Suzuki, 2006). |
| Specification | |
|---|---|
| Aliases | TYW2; TRM12 |
| Swissprot | Q53H54 |
| WB Predicted band size | 50 kDa |
| Host/Isotype | Rabbit IgG |
| Storage | Store at 4°C short term. Aliquot and store at -20°C long term. Avoid freeze/thaw cycles. |
| Species Reactivity | Human, Rat |
| Immunogen | Fusion protein of human TRMT12 |
| Formulation | pH7.4 PBS, 0.05% NaN3, 40% Glycerol |
| Application | |
|---|---|
| WB | 1/500-1/2000 |
| IHC | 1/50-1/300 |
| ELISA | 1/5000-1/10000 |
![]() |
Gel: 8%SDS-PAGE, Lysate: 40 μg, Lane 1-2: Human cerebella tissue, MCF-7 cell lysates, Primary antibody: P03165(TRMT12 Antibody) at dilution 1/400, Secondary antibody: Goat anti rabbit IgG at 1/5000 dilution, Exposure time: 40 seconds |
![]() |
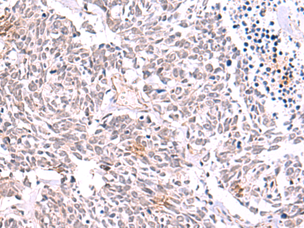
The image is immunohistochemistry of paraffin-embedded Human lung cancer tissue using P03165(TRMT12 Antibody) at dilution 1/85. (Original magnification: ×200) |
本公司的所有产品仅用于科学研究或者工业应用等非医疗目的,不可用于人类或动物的临床诊断或治疗,非药用,非食用。
暂无评论
本公司的所有产品仅用于科学研究或者工业应用等非医疗目的,不可用于人类或动物的临床诊断或治疗,非药用,非食用。
中文


发表回复