别名:TRP5; PPP1R159应用:IHC
反应种属:Human, Mouse
规格:50μl/100μl
| Description |
|---|
| This gene belongs to the transient receptor family. It encodes one of the seven mammalian TRPC (transient receptor potential channel) proteins. The encoded protein is a multi-pass membrane protein and is thought to form a receptor-activated non-selective calcium permeant cation channel. The protein is active alone or as a heteromultimeric assembly with TRPC1, TRPC3, and TRPC4. It also interacts with multiple proteins including calmodulin, CABP1, enkurin, Na(+)-H+ exchange regulatory factor (NHERF ), interferon-induced GTP-binding protein (MX1), ring finger protein 24 (RNF24), and SEC14 domain and spectrin repeat-containing protein 1 (SESTD1). |
| Specification | |
|---|---|
| Aliases | TRP5; PPP1R159 |
| Swissprot | Q9UL62 |
| Host/Isotype | Rabbit IgG |
| Storage | Store at 4°C short term. Aliquot and store at -20°C long term. Avoid freeze/thaw cycles. |
| Species Reactivity | Human, Mouse |
| Immunogen | Synthetic peptide of human TRPC5 |
| Formulation | pH7.4 PBS, 0.05% NaN3, 40% Glycerol |
| Application | |
|---|---|
| IHC | 1/25-1/100 |
| ELISA | 1/5000-1/10000 |
![]() |
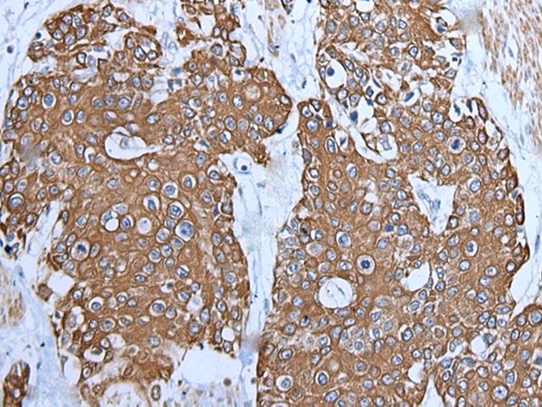
The image is immunohistochemistry of paraffin-embedded Human lung cancer tissue using P05453(TRPC5 Antibody) at dilution 1/20. (Original magnification: ×200) |
![]() |
The image is immunohistochemistry of paraffin-embedded Human prostate cancer tissue using P05453(TRPC5 Antibody) at dilution 1/20. (Original magnification: ×200) |
本公司的所有产品仅用于科学研究或者工业应用等非医疗目的,不可用于人类或动物的临床诊断或治疗,非药用,非食用。
暂无评论
本公司的所有产品仅用于科学研究或者工业应用等非医疗目的,不可用于人类或动物的临床诊断或治疗,非药用,非食用。
中文


发表回复