别名:TRP6; FSGS2应用:IHC
反应种属:Human
规格:50μl/100μl
| Description |
|---|
| The protein encoded by this gene forms a receptor-activated calcium channel in the cell membrane. The channel is activated by diacylglycerol and is thought to be under the control of a phosphatidylinositol second messenger system. Activation of this channel occurs independently of protein kinase C and is not triggered by low levels of intracellular calcium. Defects in this gene are a cause of focal segmental glomerulosclerosis 2 (FSGS2). |
| Specification | |
|---|---|
| Aliases | TRP6; FSGS2 |
| Swissprot | Q9Y210 |
| Host/Isotype | Rabbit IgG |
| Storage | Store at 4°C short term. Aliquot and store at -20°C long term. Avoid freeze/thaw cycles. |
| Species Reactivity | Human |
| Immunogen | Synthetic peptide of human TRPC6 |
| Formulation | pH7.4 PBS, 0.05% NaN3, 40% Glycerol |
| Application | |
|---|---|
| IHC | 1/50-1/200 |
| ELISA | 1/3000-1/10000 |
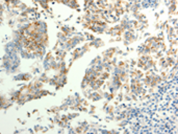
![]() |
The image is immunohistochemistry of paraffin-embedded Human colon cancer tissue using P04504(TRPC6 Antibody) at dilution 1/40. (Original magnification: ×200) |
![]() |
The image is immunohistochemistry of paraffin-embedded Human gastric cancer tissue using P04504(TRPC6 Antibody) at dilution 1/40. (Original magnification: ×200) |
本公司的所有产品仅用于科学研究或者工业应用等非医疗目的,不可用于人类或动物的临床诊断或治疗,非药用,非食用。
暂无评论
本公司的所有产品仅用于科学研究或者工业应用等非医疗目的,不可用于人类或动物的临床诊断或治疗,非药用,非食用。
中文


发表回复