别名:MTR1; LTRPC5应用:WB,IHC
反应种属:Human, Mouse
规格:50μl/100μl
| Description |
|---|
| This gene encodes a member of the transient receptor potential (TRP) protein family, which is a diverse group of proteins with structural features typical of ion channels. This protein plays an important role in taste transduction, and has characteristics of a calcium-activated, non-selective cation channel that carries Na+, K+, and Cs+ ions equally well, but not Ca(2+) ions. It is activated by lower concentrations of intracellular Ca(2+), and inhibited by higher concentrations. It is also a highly temperature-sensitive, heat activated channel showing a steep increase of inward currents at temperatures between 15 and 35 degrees Celsius. This gene is located within the Beckwith-Wiedemann syndrome critical region-1 on chromosome 11p15.5, and has been shown to be imprinted, with exclusive expression from the paternal allele. |
| Specification | |
|---|---|
| Aliases | MTR1; LTRPC5 |
| Swissprot | Q9NZQ8 |
| WB Predicted band size | 131 kDa |
| Host/Isotype | Rabbit IgG |
| Storage | Store at 4°C short term. Aliquot and store at -20°C long term. Avoid freeze/thaw cycles. |
| Species Reactivity | Human, Mouse |
| Immunogen | Synthetic peptide of human TRPM5 |
| Formulation | pH7.4 PBS, 0.05% NaN3, 40% Glycerol |
| Application | |
|---|---|
| WB | 1/500-1/2000 |
| IHC | 1/50-1/200 |
| ELISA | 1/3000-1/10000 |
![]() |
Gel: 10%SDS-PAGE, Lysate: 40 μg, Lane: Mouse heart tissue, Primary antibody: P04505(TRPM5 Antibody) at dilution 1/1200, Secondary antibody: Goat anti rabbit IgG at 1/8000 dilution, Exposure time: 20 seconds |
![]() |
The image is immunohistochemistry of paraffin-embedded Human thyroid cancer tissue using P04505(TRPM5 Antibody) at dilution 1/60. (Original magnification: ×200) |
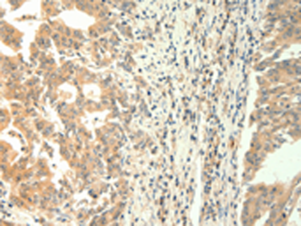
![]() |
The image is immunohistochemistry of paraffin-embedded Human gastric cancer tissue using P04505(TRPM5 Antibody) at dilution 1/60. (Original magnification: ×200) |
本公司的所有产品仅用于科学研究或者工业应用等非医疗目的,不可用于人类或动物的临床诊断或治疗,非药用,非食用。
暂无评论
本公司的所有产品仅用于科学研究或者工业应用等非医疗目的,不可用于人类或动物的临床诊断或治疗,非药用,非食用。
中文



发表回复