别名:Transient receptor potential cation channel subfamily M member 8, Long transient receptor potential channel 6, LTrpC-6, LTrpC6, Transient receptor potential p8, Trp-p8, TRPM8, LTRPC6, TRPP8应用:WB,IHC,ICC
反应种属:Human, Mouse, Rat
规格:50μl/100μl
| Description |
|---|
| Receptor-activated non-selective cation channel involved in detection of sensations such as coolness, by being activated by cold temperature below 25 degrees Celsius. Activated by icilin, eucalyptol, menthol, cold and modulation of intracellular pH. Involved in menthol sensation. Permeable for monovalent cations sodium, potassium, and cesium and divalent cation calcium. Temperature sensing is tightly linked to voltage-dependent gating. Activated upon depolarization, changes in temperature resulting in graded shifts of its voltage-dependent activation curves. The chemical agonists menthol functions as a gating modifier, shifting activation curves towards physiological membrane potentials. Temperature sensitivity arises from a tenfold difference in the activation energies associated with voltage-dependent opening and closing. |
| Specification | |
|---|---|
| Aliases | Transient receptor potential cation channel subfamily M member 8, Long transient receptor potential channel 6, LTrpC-6, LTrpC6, Transient receptor potential p8, Trp-p8, TRPM8, LTRPC6, TRPP8 |
| Entrez GeneID | 79054 |
| Swissprot | Q7Z2W7 |
| WB Predicted band size | 127.7kDa |
| Host/Isotype | Rabbit IgG |
| Storage | Store at 4°C short term. Aliquot and store at -20°C long term. Avoid freeze/thaw cycles. |
| Species Reactivity | Human, Mouse, Rat |
| Immunogen | This TRPM8 antibody is generated from rabbits immunized with a KLH conjugated synthetic peptide between 263-292 amino acids from the Central region of human TRPM8. |
| Formulation | Purified polyclonal antibody supplied in PBS with 0.05% sodium azide. This antibody is prepared by Saturated Ammonium Sulfate (SAS) precipitation followed by dialysis against PBS. |
| Application | |
|---|---|
| WB | 1/1000 |
| IHC | 1/100-1/500 |
| ICC | 1/10-1/50 |
![]() |
Western blot analysis of lysate from LNCaP cell line,using TRPM8 Antibody (Center)(Cat. #P32561).P32561 was diluted at 1:1000 at each lane. A goat anti-rabbit IgG H&L(HRP) at 1:5000 dilution was used as the secondary antibody.Lysate at 35ug per lane. |
![]() |
Confocal immunofluorescent analysis of TRPM8 Antibody (Center)(Cat#P32561) with A375 cell followed by Alexa Fluor 488-conjugated goat anti-rabbit lgG (green). DAPI was used to stain the cell nuclear (blue). |
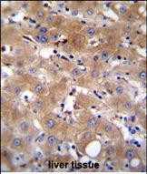
![]() |
TRPM8 Antibody (Center) (Cat. #P32561)immunohistochemistry analysis in formalin fixed and paraffin embedded human liver tissue followed by peroxidase conjugation of the secondary antibody and DAB staining.This data demonstrates the use of TRPM8 Antibody (Center) for immunohistochemistry. Clinical relevance has not been evaluated. |
本公司的所有产品仅用于科学研究或者工业应用等非医疗目的,不可用于人类或动物的临床诊断或治疗,非药用,非食用。
暂无评论
本公司的所有产品仅用于科学研究或者工业应用等非医疗目的,不可用于人类或动物的临床诊断或治疗,非药用,非食用。
中文



发表回复