别名:Translin-associated protein X, Translin-associated factor X, TSNAX, TRAX应用:WB,IHC
反应种属:Human
规格:50μl/100μl
| Description |
|---|
| This gene encodes a protein which specifically interacts with translin, a DNA-binding protein that binds consensus sequences at breakpoint junctions of chromosomal translocations. The encoded protein contains bipartite nuclear targeting sequences that may provide nuclear transport for translin, which lacks any nuclear targeting motifs. |
| Specification | |
|---|---|
| Aliases | Translin-associated protein X, Translin-associated factor X, TSNAX, TRAX |
| Entrez GeneID | 7257 |
| Swissprot | Q99598 |
| WB Predicted band size | 33.1kDa |
| Host/Isotype | Rabbit IgG |
| Storage | Store at 4°C short term. Aliquot and store at -20°C long term. Avoid freeze/thaw cycles. |
| Species Reactivity | Human |
| Immunogen | This TSNAX antibody is generated from rabbits immunized with a KLH conjugated synthetic peptide between 34-62 amino acids from the N-terminal region of human TSNAX. |
| Formulation | Purified polyclonal antibody supplied in PBS with 0.05% sodium azide. This antibody is purified through a protein A column, followed by peptide affinity purification. |
| Application | |
|---|---|
| WB | 1/1000 |
| IHC | 1/100-1/500 |
![]() |
TSNAX Antibody (N-term) (Cat. #P31372) western blot analysis in HL-60 cell line lysates (35ug/lane).This demonstrates the TSNAX antibody detected the TSNAX protein (arrow). |
![]() |
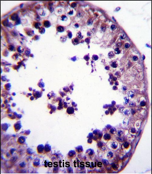
TSNAX Antibody (N-term) (Cat. #P31372)immunohistochemistry analysis in formalin fixed and paraffin embedded human testis tissue followed by peroxidase conjugation of the secondary antibody and DAB staining.This data demonstrates the use of TSNAX Antibody (N-term) for immunohistochemistry. Clinical relevance has not been evaluated. |
本公司的所有产品仅用于科学研究或者工业应用等非医疗目的,不可用于人类或动物的临床诊断或治疗,非药用,非食用。
暂无评论
本公司的所有产品仅用于科学研究或者工业应用等非医疗目的,不可用于人类或动物的临床诊断或治疗,非药用,非食用。
中文


发表回复