别名:CDA1; CTCL; NP79; TSPX; CINAP; DENTT; SE204; HRIHFB2216应用:IHC
反应种属:Human
规格:50μl/100μl
| Description |
|---|
| This gene encodes a member of the testis-specific protein Y-encoded, TSPY-like/SET/nucleosome assembly protein-1 superfamily. The encoded protein is localized to the nucleolus where it functions in chromatin remodeling and as an inhibitor of cell-cycle progression. This protein may play a role in the suppression of tumor growth. |
| Specification | |
|---|---|
| Aliases | CDA1; CTCL; NP79; TSPX; CINAP; DENTT; SE204; HRIHFB2216 |
| Swissprot | Q9H2G4 |
| Host/Isotype | Rabbit IgG |
| Storage | Store at 4°C short term. Aliquot and store at -20°C long term. Avoid freeze/thaw cycles. |
| Species Reactivity | Human |
| Immunogen | Synthetic peptide of human TSPYL2 |
| Formulation | pH7.4 PBS, 0.05% NaN3, 40% Glycerol |
| Application | |
|---|---|
| IHC | 1/50-1/200 |
| ELISA | 1/1000-1/5000 |
![]() |
The image is immunohistochemistry of paraffin-embedded Human esophagus cancer tissue using P04779(TSPYL2 Antibody) at dilution 1/30. (Original magnification: ×200) |
![]() |
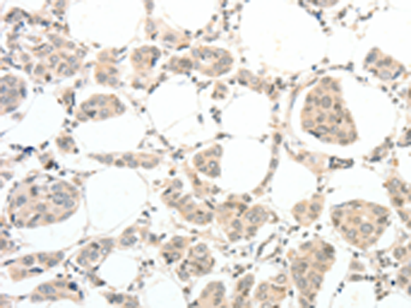
The image is immunohistochemistry of paraffin-embedded Human breast cancer tissue using P04779(TSPYL2 Antibody) at dilution 1/30. (Original magnification: ×200) |
本公司的所有产品仅用于科学研究或者工业应用等非医疗目的,不可用于人类或动物的临床诊断或治疗,非药用,非食用。
暂无评论
本公司的所有产品仅用于科学研究或者工业应用等非医疗目的,不可用于人类或动物的临床诊断或治疗,非药用,非食用。
中文


发表回复