别名:Thiosulfate sulfurtransferase, Rhodanese, TST应用:WB,IHC
反应种属:Human, Rat
规格:50μl/100μl
| Description |
|---|
| Formation of iron-sulfur complexes, cyanide detoxification or modification of sulfur-containing enzymes. Other thiol compounds, besides cyanide, can act as sulfur ion acceptors. Also has weak mercaptopyruvate sulfurtransferase (MST) activity (By similarity). Together with MRPL18, acts as a mitochondrial import factor for the cytosolic 5S rRNA. Only the nascent unfolded cytoplasmic form is able to bind to the 5S rRNA. |
| Specification | |
|---|---|
| Aliases | Thiosulfate sulfurtransferase, Rhodanese, TST |
| Entrez GeneID | 7263 |
| Swissprot | Q16762 |
| WB Predicted band size | 33.4kDa |
| Host/Isotype | Rabbit IgG |
| Storage | Store at 4°C short term. Aliquot and store at -20°C long term. Avoid freeze/thaw cycles. |
| Species Reactivity | Human, Rat |
| Immunogen | This TST antibody is generated from a rabbit immunized with a KLH conjugated synthetic peptide between 170-203 amino acids from the Central region of human TST. |
| Application | |
|---|---|
| WB | 1/2000 |
| IHC | 1/100-1/500 |
![]() |
All lanes : Anti-TST Antibody (Center) at 1:2000 dilution Lane 1: human liver lysate Lane 2: Hela whole cell lysate Lane 3: rat kidney lysate Lane 4: rat liver lysate Lysates/proteins at 20 µg per lane. Secondary Predicted band size : 33 kDa Blocking/Dilution buffer: 5% NFDM/TBST. |
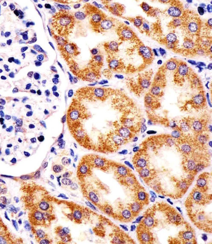
![]() |
P33332 staining TST in human kidney tissue sections by Immunohistochemistry (IHC-P – paraformaldehyde-fixed, paraffin-embedded sections). Tissue was fixed with formaldehyde and blocked with 3% BSA for 0. 5 hour at room temperature; antigen retrieval was by heat mediation with a citrate buffer (pH6). Samples were incubated with primary antibody (1/25) for 1 hours at 37°C. A undiluted biotinylated goat polyvalent antibody was used as the secondary antibody. |
本公司的所有产品仅用于科学研究或者工业应用等非医疗目的,不可用于人类或动物的临床诊断或治疗,非药用,非食用。
暂无评论
本公司的所有产品仅用于科学研究或者工业应用等非医疗目的,不可用于人类或动物的临床诊断或治疗,非药用,非食用。
中文


发表回复