别名:LL22NC03-5H6.5应用:WB,IHC
反应种属:Human, Mouse
规格:50μl/100μl
| Description |
|---|
| TTC38 (tetratricopeptide repeat domain 38) is a 469 amino acid protein that contains three TPR repeats and belongs to the TTC38 family. The gene that encodes TTC38 consists of over 26,000 bases and maps to 22q13. Housing over 500 genes, chromosome 22 is the second smallest chromosome in the human genome. Mutations in several of the genes that map to chromosome 22 are involved in the development of Phelan-McDermid syndrome, Neurofibromatosis type 2, autism and schizophrenia. In addition, translocations between chromosomes 9 and 22 may lead to the formation of the Philadelphia Chromosome and the subsequent production of the novel fusion protein BCR-Abl, a potent cell proliferation activator found in several types of leukemias. |
| Specification | |
|---|---|
| Aliases | LL22NC03-5H6.5 |
| Swissprot | Q5R3I4 |
| WB Predicted band size | 53 kDa |
| Host/Isotype | Rabbit IgG |
| Storage | Store at 4°C short term. Aliquot and store at -20°C long term. Avoid freeze/thaw cycles. |
| Species Reactivity | Human, Mouse |
| Immunogen | Fusion protein of human TTC38 |
| Formulation | pH7.4 PBS, 0.05% NaN3, 40% Glycerol |
| Application | |
|---|---|
| WB | 1/1000-1/5000 |
| IHC | 1/50-1/300 |
| ELISA | 1/5000-1/10000 |
![]() |
Gel: 8%SDS-PAGE, Lysate: 40 μg, Lane 1-3: HepG2, K562 and A172 cell lysates, Primary antibody: P03176(TTC38 Antibody) at dilution 1/1000, Secondary antibody: Goat anti rabbit IgG at 1/5000 dilution, Exposure time: 25 seconds |
![]() |
The image is immunohistochemistry of paraffin-embedded Human tonsil tissue using P03176(TTC38 Antibody) at dilution 1/85. (Original magnification: ×200) |
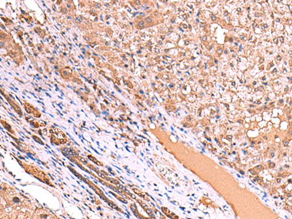
![]() |
The image is immunohistochemistry of paraffin-embedded Human liver cancer tissue using P03176(TTC38 Antibody) at dilution 1/85. (Original magnification: ×200) |
本公司的所有产品仅用于科学研究或者工业应用等非医疗目的,不可用于人类或动物的临床诊断或治疗,非药用,非食用。
暂无评论
本公司的所有产品仅用于科学研究或者工业应用等非医疗目的,不可用于人类或动物的临床诊断或治疗,非药用,非食用。
中文



发表回复