别名:smg-10; KIAA0406应用:IHC
反应种属:Human, Mouse
规格:50μl/100μl
| Description |
|---|
| Regulator of the DNA damage response (DDR). Part of the TTT complex that is required to stabilize protein levels of the phosphatidylinositol 3-kinase-related protein kinase (PIKK) family proteins. The TTT complex is involved in the cellular resistance to DNA damage stresses, like ionizing radiation (IR), ultraviolet (UV) and mitomycin C (MMC). Together with the TTT complex and HSP90 may participate in the proper folding of newly synthesized PIKKs. Promotes assembly, stabilizes and maintains the activity of mTORC1 and mTORC2 complexes, which regulate cell growth and survival in response to nutrient and hormonal signals. |
| Specification | |
|---|---|
| Aliases | smg-10; KIAA0406 |
| Swissprot | O43156 |
| Host/Isotype | Rabbit IgG |
| Storage | Store at 4°C short term. Aliquot and store at -20°C long term. Avoid freeze/thaw cycles. |
| Species Reactivity | Human, Mouse |
| Immunogen | Synthetic peptide of human TTI1 |
| Formulation | pH7.4 PBS, 0.05% NaN3, 40% Glycerol |
| Application | |
|---|---|
| IHC | 1/30-1/150 |
| ELISA | 1/2000-1/10000 |
![]() |
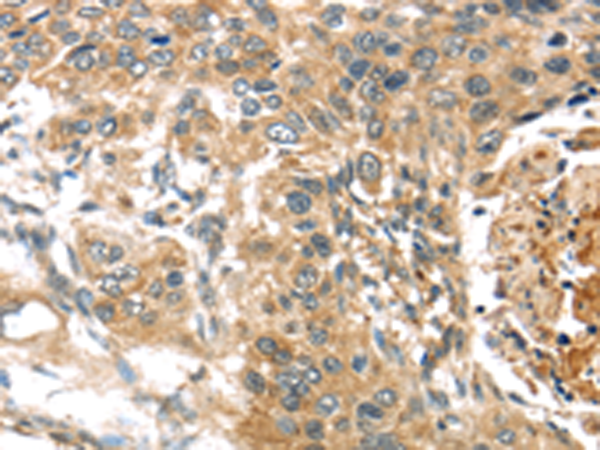
The image is immunohistochemistry of paraffin-embedded Human prostate cancer tissue using P12343(TTI1 Antibody) at dilution 1/40. (Original magnification: ×200) |
![]() |
The image is immunohistochemistry of paraffin-embedded Human esophagus cancer tissue using P12343(TTI1 Antibody) at dilution 1/40. (Original magnification: ×200) |
本公司的所有产品仅用于科学研究或者工业应用等非医疗目的,不可用于人类或动物的临床诊断或治疗,非药用,非食用。
暂无评论
本公司的所有产品仅用于科学研究或者工业应用等非医疗目的,不可用于人类或动物的临床诊断或治疗,非药用,非食用。
中文


发表回复