别名:SCS; ACS3; CRS1; BPES2; BPES3; TWIST; bHLHa38应用:IHC
反应种属:Human, Mouse
规格:50μl/100μl
| Description |
|---|
| Basic helix-loop-helix (bHLH) transcription factors have been implicated in cell lineage determination and differentiation. The protein encoded by this gene is a bHLH transcription factor and shares similarity with another bHLH transcription factor, Dermo1. The strongest expression of this mRNA is in placental tissue; in adults, mesodermally derived tissues express this mRNA preferentially. Mutations in this gene have been found in patients with Saethre-Chotzen syndrome. |
| Specification | |
|---|---|
| Aliases | SCS; ACS3; CRS1; BPES2; BPES3; TWIST; bHLHa38 |
| Swissprot | Q15672 |
| Host/Isotype | Rabbit IgG |
| Storage | Store at 4°C short term. Aliquot and store at -20°C long term. Avoid freeze/thaw cycles. |
| Species Reactivity | Human, Mouse |
| Immunogen | Synthetic peptide of human TWIST1 |
| Formulation | pH7.4 PBS, 0.05% NaN3, 40% Glycerol |
| Application | |
|---|---|
| IHC | 1/25-1/100 |
| ELISA | 1/2000-1/5000 |
![]() |
The image is immunohistochemistry of paraffin-embedded Human colon cancer tissue using P11146(TWIST1 Antibody) at dilution 1/20. (Original magnification: ×200) |
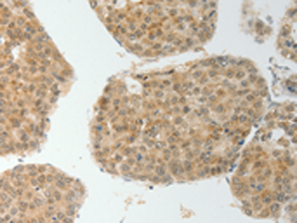
![]() |
The image is immunohistochemistry of paraffin-embedded Human liver cancer tissue using P11146(TWIST1 Antibody) at dilution 1/20. (Original magnification: ×200) |
本公司的所有产品仅用于科学研究或者工业应用等非医疗目的,不可用于人类或动物的临床诊断或治疗,非药用,非食用。
暂无评论
本公司的所有产品仅用于科学研究或者工业应用等非医疗目的,不可用于人类或动物的临床诊断或治疗,非药用,非食用。
中文


发表回复