别名:Thioredoxin, Trx, ATL-derived factor, ADF, Surface-associated sulphydryl protein, SASP, TXN, TRDX, TRX, TRX1应用:WB,IHC
反应种属:Human, Mouse, Rat
规格:50μl/100μl
| Description |
|---|
| Participates in various redox reactions through the reversible oxidation of its active center dithiol to a disulfide and catalyzes dithiol-disulfide exchange reactions. Plays a role in the reversible S-nitrosylation of cysteine residues in target proteins, and thereby contributes to the response to intracellular nitric oxide. Nitrosylates the active site Cys of CASP3 in response to nitric oxide (NO), and thereby inhibits caspase-3 activity. Induces the FOS/JUN AP-1 DNA-binding activity in ionizing radiation (IR) cells through its oxidation/reduction status and stimulates AP-1 transcriptional activity. ADF augments the expression of the interleukin-2 receptor TAC (IL2R/P55). |
| Specification | |
|---|---|
| Aliases | Thioredoxin, Trx, ATL-derived factor, ADF, Surface-associated sulphydryl protein, SASP, TXN, TRDX, TRX, TRX1 |
| Entrez GeneID | 7295 |
| Swissprot | P10599 |
| WB Predicted band size | 11.7kDa |
| Host/Isotype | Rabbit IgG |
| Storage | Store at 4°C short term. Aliquot and store at -20°C long term. Avoid freeze/thaw cycles. |
| Species Reactivity | Human, Mouse, Rat |
| Immunogen | This TXN antibody is generated from rabbits immunized with a KLH conjugated synthetic peptide between 66-94 amino acids from the C-terminal region of human TXN. |
| Formulation | Purified polyclonal antibody supplied in PBS with 0.05% sodium azide. This antibody is purified through a protein A column, followed by peptide affinity purification. |
| Application | |
|---|---|
| WB | 1/1000 |
| IHC | 1/100-1/500 |
![]() |
TXN Antibody (C-term) (Cat. #P32473) western blot analysis in A549,MDA-MB453 cell line lysates (35ug/lane).This demonstrates the TXN antibody detected the TXN protein (arrow). |
![]() |
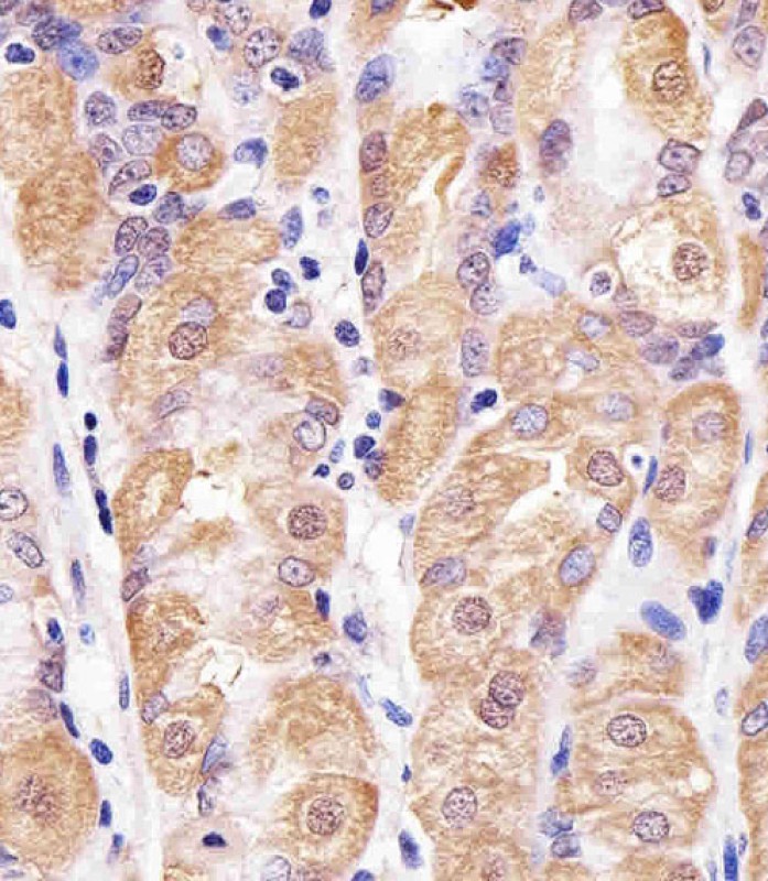
Immunohistochemical analysis of paraffin-embedded H. stomach section using TXN Antibody (C-term)(Cat#P32473). P32473 was diluted at 1:25 dilution. A undiluted biotinylated goat polyvalent antibody was used as the secondary, followed by DAB staining. |
![]() |
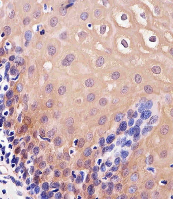
Immunohistochemical analysis of paraffin-embedded H. esophagus section using TXN Antibody (C-term)(Cat#P32473). P32473 was diluted at 1:25 dilution. A undiluted biotinylated goat polyvalent antibody was used as the secondary, followed by DAB staining. |
本公司的所有产品仅用于科学研究或者工业应用等非医疗目的,不可用于人类或动物的临床诊断或治疗,非药用,非食用。
暂无评论
本公司的所有产品仅用于科学研究或者工业应用等非医疗目的,不可用于人类或动物的临床诊断或治疗,非药用,非食用。
中文



发表回复