别名:Txl; TXNL; TRP32; TXL-1; HEL-S-114应用:WB,IHC
反应种属:Human, Mouse, Rat
规格:50μl/100μl
| Description |
|---|
| TXNL1(Thioredoxin-like protein 1) is also named as TRP32, TXL, TXNL and belongs to the thioredoxin family. It might be involved in the cellular response to sugar starvation stress. The predicted 289-amino acid, 32.3-kD protein has 2 distinct domains: an N-terminal domain, which is 43% identical to human TXN, and a C-terminal domain, which showed no homology to other proteins in the sequence databases. TXNL1 functions as an effector of oxidants or redox sensor that couples oxidative stress to endocytosis, by converting redox changes into a specific GDI:Rab5-mediated endocytic response. |
| Specification | |
|---|---|
| Aliases | Txl; TXNL; TRP32; TXL-1; HEL-S-114 |
| Swissprot | O43396 |
| WB Predicted band size | 32 kDa |
| Host/Isotype | Rabbit IgG |
| Storage | Store at 4°C short term. Aliquot and store at -20°C long term. Avoid freeze/thaw cycles. |
| Species Reactivity | Human, Mouse, Rat |
| Immunogen | Fusion protein of human TXNL1 |
| Formulation | pH7.4 PBS, 0.05% NaN3, 40% Glycerol |
| Application | |
|---|---|
| WB | 1/1000-1/5000 |
| IHC | 1/50-1/200 |
| ELISA | 1/5000-1/10000 |
![]() |
Gel: 8%SDS-PAGE, Lysate: 40 μg, Lane 1-5: Mouse fetal liver tissue, Mouse brain tissue, HepG2 cell, HUVEC cell, PC-3 cell lysates, Primary antibody: P02887(TXNL1 Antibody) at dilution 1/1300, Secondary antibody: Goat anti rabbit IgG at 1/5000 dilution, Exposure time: 10 seconds |
![]() |
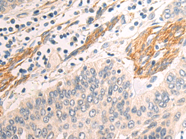
The image is immunohistochemistry of paraffin-embedded Human esophagus cancer tissue using P02887(TXNL1 Antibody) at dilution 1/60. (Original magnification: ×200) |
![]() |
The image is immunohistochemistry of paraffin-embedded Human prostate cancer tissue using P02887(TXNL1 Antibody) at dilution 1/60. (Original magnification: ×200) |
本公司的所有产品仅用于科学研究或者工业应用等非医疗目的,不可用于人类或动物的临床诊断或治疗,非药用,非食用。
暂无评论
本公司的所有产品仅用于科学研究或者工业应用等非医疗目的,不可用于人类或动物的临床诊断或治疗,非药用,非食用。
中文



发表回复