别名:Tyrosine-protein kinase receptor TYRO3, Tyrosine-protein kinase BYK, Tyrosine-protein kinase DTK, Tyrosine-protein kinase RSE, Tyrosine-protein kinase SKY, Tyrosine-protein kinase TIF, TYRO3, BYK, DTK, RSE, SKY, TIF应用:WB,IHC
反应种属:Human, Mouse
规格:50μl/100μl
| Description |
|---|
| Protein kinases are enzymes that transfer a phosphate group from a phosphate donor, generally the g phosphate of ATP, onto an acceptor amino acid in a substrate protein. By this basic mechanism, protein kinases mediate most of the signal transduction in eukaryotic cells, regulating cellular metabolism, transcription, cell cycle progression, cytoskeletal rearrangement and cell movement, apoptosis, and differentiation. With more than 500 gene products, the protein kinase family is one of the largest families of proteins in eukaryotes. The family has been classified in 8 major groups based on sequence comparison of their tyrosine (PTK) or serine/threonine (STK) kinase catalytic domains. |
| Specification | |
|---|---|
| Aliases | Tyrosine-protein kinase receptor TYRO3, Tyrosine-protein kinase BYK, Tyrosine-protein kinase DTK, Tyrosine-protein kinase RSE, Tyrosine-protein kinase SKY, Tyrosine-protein kinase TIF, TYRO3, BYK, DTK, RSE, SKY, TIF |
| Entrez GeneID | 7301 |
| Swissprot | Q06418 |
| WB Predicted band size | 96.9kDa |
| Host/Isotype | Rabbit IgG |
| Storage | Store at 4°C short term. Aliquot and store at -20°C long term. Avoid freeze/thaw cycles. |
| Species Reactivity | Human, Mouse |
| Immunogen | This TYRO3 antibody is generated from rabbits immunized with a KLH conjugated synthetic peptide between 842-873 amino acids from the C-terminal region of human TYRO3. |
| Formulation | Purified polyclonal antibody supplied in PBS with 0.05% sodium azide. This antibody is prepared by Saturated Ammonium Sulfate (SAS) precipitation followed by dialysis against PBS. |
| Application | |
|---|---|
| WB | 1/1000 |
| IHC | 1/100-1/500 |
![]() |
Western blot analysis of anti-SKY Pab (Cat. #P30025) in mouse brain lysate. SKY (arrow) was detected using purified Pab. Secondary HRP-anti-rabbit was used for signal visualization with chemiluminescence. |
![]() |
Western blot analysis of SKY (arrow) using rabbit polyclonal SKY Antibody (C-term) (Cat. #P30025).293 cell lysates (2 ug/lane) either nontransfected (Lane 1) or transiently transfected with the SKY gene (Lane 2) (Origene Technologies). |
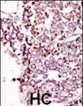
![]() |
Formalin-fixed and paraffin-embedded human cancer tissue reacted with the primary antibody, which was peroxidase-conjugated to the secondary antibody, followed by DAB staining. This data demonstrates the use of this antibody for immunohistochemistry; clinical relevance has not been evaluated. BC = breast carcinoma; HC = hepatocarcinoma. |
本公司的所有产品仅用于科学研究或者工业应用等非医疗目的,不可用于人类或动物的临床诊断或治疗,非药用,非食用。
暂无评论
本公司的所有产品仅用于科学研究或者工业应用等非医疗目的,不可用于人类或动物的临床诊断或治疗,非药用,非食用。
中文



发表回复