别名:A1S9; A1ST; GXP1; UBE1; A1S9T; AMCX1; POC20; SMAX2; UBA1A; UBE1X; CFAP124应用:WB,IHC
反应种属:Human, Mouse, Rat
规格:50μl/100μl
| Description |
|---|
| The protein encoded by this gene catalyzes the first step in ubiquitin conjugation to mark cellular proteins for degradation. This gene complements an X-linked mouse temperature-sensitive defect in DNA synthesis, and thus may function in DNA repair. It is part of a gene cluster on chromosome Xp11.23. Alternatively spliced transcript variants that encode the same protein have been described. |
| Specification | |
|---|---|
| Aliases | A1S9; A1ST; GXP1; UBE1; A1S9T; AMCX1; POC20; SMAX2; UBA1A; UBE1X; CFAP124 |
| Swissprot | P22314 |
| WB Predicted band size | 118 kDa |
| Host/Isotype | Rabbit IgG |
| Storage | Store at 4°C short term. Aliquot and store at -20°C long term. Avoid freeze/thaw cycles. |
| Species Reactivity | Human, Mouse, Rat |
| Immunogen | Synthetic peptide of human UBA1 |
| Formulation | pH7.4 PBS, 0.05% NaN3, 40% Glycerol |
| Application | |
|---|---|
| WB | 1/200-1/1000 |
| IHC | 1/30-1/150 |
| ELISA | 1/1000-1/2000 |
![]() |
Gel: 6%SDS-PAGE, Lysate: 40 μg, Lane: Human fetal brain tissue, Primary antibody: P05475(UBA1 Antibody) at dilution 1/400, Secondary antibody: Goat anti rabbit IgG at 1/8000 dilution, Exposure time: 1 minute |
![]() |
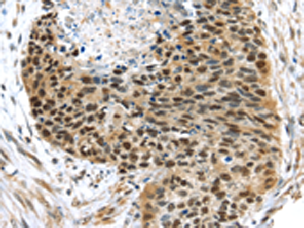
The image is immunohistochemistry of paraffin-embedded Human esophagus cancer tissue using P05475(UBA1 Antibody) at dilution 1/40. (Original magnification: ×200) |
本公司的所有产品仅用于科学研究或者工业应用等非医疗目的,不可用于人类或动物的临床诊断或治疗,非药用,非食用。
暂无评论
本公司的所有产品仅用于科学研究或者工业应用等非医疗目的,不可用于人类或动物的临床诊断或治疗,非药用,非食用。
中文


发表回复