别名:FAT10; UBD-3; GABBR1应用:IHC
反应种属:Human
规格:50μl/100μl
| Description |
|---|
| This gene encodes a protein which contains two ubiquitin-like domains and appears to have similar function to ubiquitin. Through covalent attachment, the encoded protein targets other proteins for 26S proteasome degradation. This protein has been implicated to function in many cellular processes, including caspase-dependent apoptosis, formation of aggresomes, mitotic regulation, and dendritic cell maturation. Upregulation of this gene may promote inflammation in chronic kidney disease and has been observed in many cancer types. |
| Specification | |
|---|---|
| Aliases | FAT10; UBD-3; GABBR1 |
| Swissprot | O15205 |
| Host/Isotype | Rabbit IgG |
| Storage | Store at 4°C short term. Aliquot and store at -20°C long term. Avoid freeze/thaw cycles. |
| Species Reactivity | Human |
| Immunogen | Fusion protein of human UBD |
| Formulation | pH7.4 PBS, 0.05% NaN3, 40% Glycerol |
| Application | |
|---|---|
| IHC | 1/50-1/300 |
| ELISA | 1/5000-1/10000 |
![]() |
The image is immunohistochemistry of paraffin-embedded Human tonsil tissue using P03011(UBD Antibody) at dilution 1/50. (Original magnification: ×200) |
![]() |
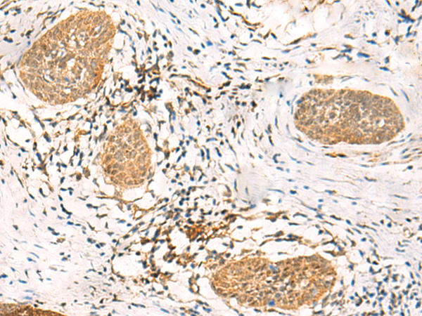
The image is immunohistochemistry of paraffin-embedded Human esophagus cancer tissue using P03011(UBD Antibody) at dilution 1/50. (Original magnification: ×200) |
本公司的所有产品仅用于科学研究或者工业应用等非医疗目的,不可用于人类或动物的临床诊断或治疗,非药用,非食用。
暂无评论
本公司的所有产品仅用于科学研究或者工业应用等非医疗目的,不可用于人类或动物的临床诊断或治疗,非药用,非食用。
中文


发表回复