别名:Ubiquitin-conjugating enzyme E2 G1, E217K, UBC7, Ubiquitin carrier protein G1, Ubiquitin-protein ligase G1, Ubiquitin-conjugating enzyme E2 G1, N-terminally processed, UBE2G1, UBE2G应用:WB,IHC
反应种属:Human, Mouse
规格:50μl/100μl
| Description |
|---|
| The modification of proteins with ubiquitin is an important cellular mechanism for targeting abnormal or short-lived proteins for degradation. Ubiquitination involves at least three classes of enzymes: ubiquitin-activating enzymes, or E1s, ubiquitin-conjugating enzymes, or E2s, and ubiquitin-protein ligases, or E3s. UBE2G1 is a member of the E2 ubiquitin-conjugating enzyme family. The encoded protein shares 98-100% sequence identity with the zebrafish, frog, rat and mouse counterparts, which indicates that this enzyme is highly conserved in eukaryotes. |
| Specification | |
|---|---|
| Aliases | Ubiquitin-conjugating enzyme E2 G1, E217K, UBC7, Ubiquitin carrier protein G1, Ubiquitin-protein ligase G1, Ubiquitin-conjugating enzyme E2 G1, N-terminally processed, UBE2G1, UBE2G |
| Entrez GeneID | 7326 |
| Swissprot | P62253 |
| WB Predicted band size | 19.5kDa |
| Host/Isotype | Rabbit IgG |
| Storage | Store at 4°C short term. Aliquot and store at -20°C long term. Avoid freeze/thaw cycles. |
| Species Reactivity | Human, Mouse |
| Immunogen | This UBE2G1 antibody is generated from rabbits immunized with a KLH conjugated synthetic peptide between 1-30 amino acids from the N-terminal region of human UBE2G1. |
| Formulation | Purified polyclonal antibody supplied in PBS with 0.05% sodium azide. This antibody is purified through a protein G column, eluted with high and low pH buffers and neutralized immediately, followed by dialysis against PBS. |
| Application | |
|---|---|
| WB | 1/1000 |
| IHC | 1/100-1/500 |
![]() |
Western blot analysis of anti-UBE2G1 Antibody (N-term) (Cat.#P30064) in mouse heart tissue lysates (35ug/lane). UBE2G1(arrow) was detected using the purified Pab. |
![]() |
Western blot analysis of UBE2G1 (arrow) using rabbit polyclonal UBE2G1 Antibody (R11) (Cat.#P30064). 293 cell lysates (2 ug/lane) either nontransfected (Lane 1) or transiently transfected (Lane 2) with the UBE2G1 gene. |
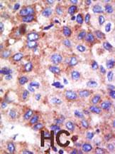
![]() |
Formalin-fixed and paraffin-embedded human cancer tissue reacted with the primary antibody, which was peroxidase-conjugated to the secondary antibody, followed by DAB staining. This data demonstrates the use of this antibody for immunohistochemistry; clinical relevance has not been evaluated. BC = breast carcinoma; HC = hepatocarcinoma. |
本公司的所有产品仅用于科学研究或者工业应用等非医疗目的,不可用于人类或动物的临床诊断或治疗,非药用,非食用。
暂无评论
本公司的所有产品仅用于科学研究或者工业应用等非医疗目的,不可用于人类或动物的临床诊断或治疗,非药用,非食用。
中文



发表回复