别名:Ubiquitin/ISG15-conjugating enzyme E2 L6, Retinoic acid-induced gene B protein, RIG-B, UbcH8, Ubiquitin carrier protein L6, Ubiquitin-protein ligase L6, UBE2L6, UBCH8应用:WB,IHC
反应种属:Human
规格:50μl/100μl
| Description |
|---|
| The modification of proteins with ubiquitin is an important cellular mechanism for targeting abnormal or short-lived proteins for degradation. Ubiquitination involves at least three classes of enzymes: ubiquitin-activating enzymes (E1s), ubiquitin-conjugating enzymes (E2s) and ubiquitin-protein ligases (E3s). UBE2L6 is a member of the E2 ubiquitin-conjugating enzyme family. This enzyme is demonstrated to function in the E6/E6-ap-induced ubiquitination of p53. |
| Specification | |
|---|---|
| Aliases | Ubiquitin/ISG15-conjugating enzyme E2 L6, Retinoic acid-induced gene B protein, RIG-B, UbcH8, Ubiquitin carrier protein L6, Ubiquitin-protein ligase L6, UBE2L6, UBCH8 |
| Entrez GeneID | 9246 |
| Swissprot | O14933 |
| WB Predicted band size | 17.8kDa |
| Host/Isotype | Rabbit IgG |
| Storage | Store at 4°C short term. Aliquot and store at -20°C long term. Avoid freeze/thaw cycles. |
| Species Reactivity | Human |
| Immunogen | This UBE2L6 antibody is generated from rabbits immunized with a KLH conjugated synthetic peptide between 1-30 amino acids from the N-terminal region of human UBE2L6. |
| Formulation | Purified polyclonal antibody supplied in PBS with 0.05% sodium azide. This antibody is prepared by Saturated Ammonium Sulfate (SAS) precipitation followed by dialysis against PBS. |
| Application | |
|---|---|
| WB | 1/1000 |
| IHC | 1/100-1/500 |
![]() |
Western blot analysis of lysate from HL-60 cell line, using UBE2L6 Antibody (M1) (Cat. #P32613). P32613 was diluted at 1:1000. A goat anti-rabbit IgG H&L(HRP) at 1:5000 dilution was used as the secondary antibody. Lysate at 35ug. |
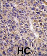
![]() |
Formalin-fixed and paraffin-embedded human hepatocarcinoma reacted with UBE2L6 Antibody (N-term)(Cat.#P32613), which was peroxidase-conjugated to the secondary antibody, followed by DAB staining. This data demonstrates the use of this antibody for immunohistochemistry; clinical relevance has not been evaluated. |
本公司的所有产品仅用于科学研究或者工业应用等非医疗目的,不可用于人类或动物的临床诊断或治疗,非药用,非食用。
暂无评论
本公司的所有产品仅用于科学研究或者工业应用等非医疗目的,不可用于人类或动物的临床诊断或治疗,非药用,非食用。
中文


发表回复