别名:Ubiquitin-protein ligase E3A, 632-, E6AP ubiquitin-protein ligase, Human papillomavirus E6-associated protein, Oncogenic protein-associated protein E6-AP, Renal carcinoma antigen NY-REN-54, UBE3A, E6AP, EPVE6AP, HPVE6A应用:WB,IHC,ICC,FCM
反应种属:Human, Mouse
规格:50μl/100μl
| Description |
|---|
| UBE3A interacts with the E6 protein of the cancer-associated human papillomavirus types 16 and 18. The E6/E6-AP complex binds to and targets the p53 tumor-suppressor protein for ubiquitin-mediated proteolysis. It is an E3 ubiquitin-protein ligase which accepts ubiquitin from an E2 ubiquitin-conjugating enzyme in the form of a thioester and then directly transfers the ubiquitin to targeted substrates. It can target itself for ubiquitination in vitro and efficiently promotes its own degradation in vivo. It appears that only unmodified E6-AP molecules can bind efficiently to p53 in the presence of the HPV E6 oncoprotein. UBE3A binds UBQLN1 and UBQLN2. Defects in UBE3A are a cause of Angelman syndrome (AS) [MIM:105830]; also known as ‘happy puppet syndrome’. AS is characterized by features of severe motor and intellectual retardation, microcephaly, ataxia, frequent jerky limb movements and flapping of the arms and hands, hypotonia, hyperactivity, hypopigmentation, seizures, absence of speech, frequent smiling and episodes of paroxysmal laughter, and an unusual facies characterized by macrostomia, a large mandible and open-mouthed expression, a great propensity for protruding the tongue (‘tongue thrusting’), and an occipital groove. UBE3A contains 1 HECT-type E3 ubiquitin-protein ligase domain. |
| Specification | |
|---|---|
| Aliases | Ubiquitin-protein ligase E3A, 632-, E6AP ubiquitin-protein ligase, Human papillomavirus E6-associated protein, Oncogenic protein-associated protein E6-AP, Renal carcinoma antigen NY-REN-54, UBE3A, E6AP, EPVE6AP, HPVE6A |
| Entrez GeneID | 7337 |
| Swissprot | Q05086 |
| WB Predicted band size | 100.7kDa |
| Host/Isotype | Rabbit IgG |
| Storage | Store at 4°C short term. Aliquot and store at -20°C long term. Avoid freeze/thaw cycles. |
| Species Reactivity | Human, Mouse |
| Immunogen | This UBE3A antibody is generated from rabbits immunized with a KLH conjugated synthetic peptide between 836-865 amino acids from the C-terminal region of human UBE3A. |
| Formulation | Purified polyclonal antibody supplied in PBS with 0.05% sodium azide. This antibody is purified through a protein G column, eluted with high and low pH buffers and neutralized immediately, followed by dialysis against PBS. |
| Application | |
|---|---|
| WB | 1/1000 |
| IHC | 1/100-1/500 |
| ICC | 1/10-1/50 |
| FCM | 1/10-1/50 |
![]() |
Western blot analysis of UBE3A Antibody (C-term) (Cat. #P30069) in T47D cell line lysates (35ug/lane).UBE3A(arrow) was detected using the purified Pab. |
![]() |
Confocal immunofluorescent analysis of UBE3A Antibody (C-term)(Cat#P30069) with Hela cell followed by Alexa Fluor 488-conjugated goat anti-rabbit lgG (green). Actin filaments have been labeled with Alexa Fluor 555 phalloidin (red).DAPI was used to stain the cell nuclear (blue). |
![]() |
UBE3A Antibody (C-term) (Cat. #P30069) flow cytometric analysis of Hela cells (right histogram) compared to a negative control cell (left histogram).FITC-conjugated goat-anti-rabbit secondary antibodies were used for the analysis. |
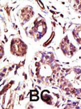
![]() |
Formalin-fixed and paraffin-embedded human cancer tissue reacted with the primary antibody, which was peroxidase-conjugated to the secondary antibody, followed by DAB staining. This data demonstrates the use of this antibody for immunohistochemistry; clinical relevance has not been evaluated. BC = breast carcinoma; HC = hepatocarcinoma. |
本公司的所有产品仅用于科学研究或者工业应用等非医疗目的,不可用于人类或动物的临床诊断或治疗,非药用,非食用。
暂无评论
本公司的所有产品仅用于科学研究或者工业应用等非医疗目的,不可用于人类或动物的临床诊断或治疗,非药用,非食用。
中文




发表回复