别名:Ubiquitin conjugation factor E4 B, 632-, UBE4B (HGNC:12500)应用:WB,IHC
反应种属:Human, Mouse
规格:50μl/100μl
| Description |
|---|
| The modification of proteins with ubiquitin is an important cellular mechanism for targeting abnormal or short-lived proteins for degradation. Ubiquitination involves at least three classes of enzymes: ubiquitin-activating enzymes, or E1s, ubiquitin-conjugating enzymes, or E2s, and ubiquitin-protein ligases, or E3s. UBE4B represents an additional conjugation factor, E4, which is involved in multiubiquitin chain assembly. UBE4B also the strongest candidate among the neuroblastoma tumor suppressors. |
| Specification | |
|---|---|
| Aliases | Ubiquitin conjugation factor E4 B, 632-, UBE4B (HGNC:12500) |
| Entrez GeneID | 10277 |
| Swissprot | O95155 |
| WB Predicted band size | 146.2kDa |
| Host/Isotype | Rabbit IgG |
| Storage | Store at 4°C short term. Aliquot and store at -20°C long term. Avoid freeze/thaw cycles. |
| Species Reactivity | Human, Mouse |
| Immunogen | This UBE4B antibody is generated from rabbits immunized with a KLH conjugated synthetic peptide between 112-142 amino acids from the N-terminal region of human UBE4B. |
| Formulation | Purified polyclonal antibody supplied in PBS with 0.05% sodium azide. This antibody is prepared by Saturated Ammonium Sulfate (SAS) precipitation followed by dialysis against PBS. |
| Application | |
|---|---|
| WB | 1/1000 |
| IHC | 1/100-1/500 |
![]() |
The anti-UBE4B Pab (Cat. #P30062) is used in Western blot to detect UBE4B in mouse kidney tissue lysate. |
![]() |
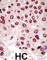
Formalin-fixed and paraffin-embedded human cancer tissue reacted with the primary antibody, which was peroxidase-conjugated to the secondary antibody, followed by AEC staining. This data demonstrates the use of this antibody for immunohistochemistry; clinical relevance has not been evaluated. BC = breast carcinoma; HC = hepatocarcinoma. |
本公司的所有产品仅用于科学研究或者工业应用等非医疗目的,不可用于人类或动物的临床诊断或治疗,非药用,非食用。
暂无评论
本公司的所有产品仅用于科学研究或者工业应用等非医疗目的,不可用于人类或动物的临床诊断或治疗,非药用,非食用。
中文


发表回复