别名:Ubiquilin-1, Protein linking IAP with cytoskeleton 1, PLIC-1, hPLIC-1, UBQLN1, DA41, PLIC1应用:WB,IHC,ICC
反应种属:Human, Mouse, Rat
规格:50μl/100μl
| Description |
|---|
| Ubiquilin 1 (UBQLN1), also known as DA41, was isolated from an adult rat lung cDNA library, and encodes a cellular protein that associates with DAN.1 DAN expression is reduced in rat fibroblast 3Y1 cells transformed with mouse sarcoma virus and in rodent fibroblasts transformed with a variety of oncogenes. The DAN-DA41 interaction is mediated through the N-terminal domain and a cysteine-knot region of DAN. Human DA41 encodes a 589-amino acid protein with 86% amino acid sequence identity with rat protein.2 DA41 expression is regulated in a cell cycle-dependent manner. PLIC1 and PLIC2 (UBQLN2) are homologs of the mouse Plics (proteins linking integrin-associated protein (IAP) and cytoskeleton) and the yeast Dsk2 protein. PLIC1, also called UBQLN1, shares 72% amino acid identity with PLIC2,3 Two motifs are conserved in the mammalian PLICs and yeast Dsk2, an N-terminal ubiquitin-like (UBL) domain and a C-terminal ubiquitin-associated (UBA) domain. Unlike ubiquitin, the UBL domain of the PLICs does not have a diglycine motif in its C terminus. The UBA domain is present in multiple enzyme classes of the ubiquitination machinery. Human PLICs associate with both proteasomes and ubiquitin ligases in large complexes. Overexpression of PLICs impairs the in vivo degradation of 2 unrelated ubiquitin-dependent proteasome substrates, p53 and I-kappa-B-alpha (NFKBIA), but not a ubiquitin-independent substrate. PLICs may link the ubiquitination machinery to the proteasome to affect in vivo protein degradation. The DA41 gene maps to chromosome 9q21.2-q21.3, a position overlapping a candidate tumor suppressor locus for bladder cancer.2 |
| Specification | |
|---|---|
| Aliases | Ubiquilin-1, Protein linking IAP with cytoskeleton 1, PLIC-1, hPLIC-1, UBQLN1, DA41, PLIC1 |
| Entrez GeneID | 29979 |
| Swissprot | Q9UMX0 |
| WB Predicted band size | 62.5kDa |
| Host/Isotype | Rabbit IgG |
| Storage | Store at 4°C short term. Aliquot and store at -20°C long term. Avoid freeze/thaw cycles. |
| Species Reactivity | Human, Mouse, Rat |
| Immunogen | This Ubiquilin1 antibody is generated from rabbits immunized with a KLH conjugated synthetic peptide between 296-326 amino acids from the Central region of human Ubiquilin1. |
| Formulation | Purified polyclonal antibody supplied in PBS with 0.05% sodium azide. This antibody is prepared by Saturated Ammonium Sulfate (SAS) precipitation followed by dialysis against PBS. |
| Application | |
|---|---|
| WB | 1/1000 |
| IHC | 1/100-1/500 |
| ICC | 1/100 |
![]() |
Ubiquilin1 Antibody (P311) (Cat. #P30070) western blot analysis in SH-SY5Y cell line lysates (35ug/lane).This demonstrates the Ubiquilin1 antibody detected the Ubiquilin1 protein (arrow). |
![]() |
Immunofluorescent analysis of Hela cells, using Ubiquilin1 Antibody (Center) (Cat. #P30070). P30070 was diluted at 1:100 dilution. Alexa Fluor 488-conjugated goat anti-rabbit lgG at 1:400 dilution was used as the secondary antibody (green). Cytoplasmic actin was counterstained with Dylight Fluor® 554 (red) conjugated Phalloidin (red). |
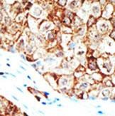
![]() |
Formalin-fixed and paraffin-embedded human cancer tissue reacted with the primary antibody, which was peroxidase-conjugated to the secondary antibody, followed by AEC staining. This data demonstrates the use of this antibody for immunohistochemistry; clinical relevance has not been evaluated. BC = breast carcinoma; HC = hepatocarcinoma. |
本公司的所有产品仅用于科学研究或者工业应用等非医疗目的,不可用于人类或动物的临床诊断或治疗,非药用,非食用。
暂无评论
本公司的所有产品仅用于科学研究或者工业应用等非医疗目的,不可用于人类或动物的临床诊断或治疗,非药用,非食用。
中文



发表回复