别名:LBP1A; LBP1B; LBP-1B; LBP-1a应用:WB,IHC
反应种属:Human, Mouse
规格:50μl/100μl
| Description |
|---|
| LBP1 (Upstream-binding protein 1), also designated UBP1, LBP1A or LBP1B, is a 540 amino acid protein that belongs to the grh/CP2 family (grainyhead transcription factor family). LBP1 is a transcriptional activator that regulates the placental expression of CYP11A1 and activates the Hemoglobin globin promoter in erythroid cells. LBP1 is responsible for repressing transcription of HIV-1 by binding to and preventing TFIID from interacting with its promoter region. Null expression of LBP1 causes uterine growth retardation in mice embryos suggesting a critical role in extraembryonic angiogenesis. |
| Specification | |
|---|---|
| Aliases | LBP1A; LBP1B; LBP-1B; LBP-1a |
| Swissprot | Q9NZI7 |
| WB Predicted band size | 60 kDa |
| Host/Isotype | Rabbit IgG |
| Storage | Store at 4°C short term. Aliquot and store at -20°C long term. Avoid freeze/thaw cycles. |
| Species Reactivity | Human, Mouse |
| Immunogen | Synthetic peptide of human UBP1 |
| Formulation | pH7.4 PBS, 0.05% NaN3, 40% Glycerol |
| Application | |
|---|---|
| WB | 1/200-1/1000 |
| IHC | 1/50-1/200 |
| ELISA | 1/2000-1/5000 |
![]() |
Gel: 8%SDS-PAGE, Lysate: 40 μg, Lane: Hepg2 cells, Primary antibody: P05014(UBP1 Antibody) at dilution 1/200, Secondary antibody: Goat anti rabbit IgG at 1/8000 dilution, Exposure time: 20 seconds |
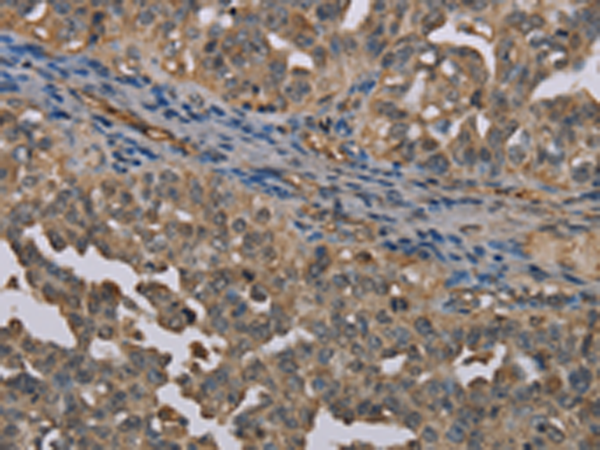
![]() |
The image is immunohistochemistry of paraffin-embedded Human ovarian cancer tissue using P05014(UBP1 Antibody) at dilution 1/40. (Original magnification: ×200) |
本公司的所有产品仅用于科学研究或者工业应用等非医疗目的,不可用于人类或动物的临床诊断或治疗,非药用,非食用。
暂无评论
本公司的所有产品仅用于科学研究或者工业应用等非医疗目的,不可用于人类或动物的临床诊断或治疗,非药用,非食用。
中文


发表回复