别名:UBX domain-containing protein 2A, UBX domain-containing protein 4, UBXN2A, UBXD4应用:WB,IHC,FCM
反应种属:Human, Mouse
规格:50μl/100μl
| Specification | |
|---|---|
| Aliases | UBX domain-containing protein 2A, UBX domain-containing protein 4, UBXN2A, UBXD4 |
| Entrez GeneID | 165324 |
| Swissprot | P68543 |
| WB Predicted band size | 29.3kDa |
| Host/Isotype | Rabbit IgG |
| Storage | Store at 4°C short term. Aliquot and store at -20°C long term. Avoid freeze/thaw cycles. |
| Species Reactivity | Human, Mouse |
| Immunogen | This UBXN2A antibody is generated from rabbits immunized with a KLH conjugated synthetic peptide between 166-195 amino acids from the C-terminal region of human UBXN2A. |
| Formulation | Purified polyclonal antibody supplied in PBS with 0.05% sodium azide. This antibody is purified through a protein A column, followed by peptide affinity purification. |
| Application | |
|---|---|
| WB | 1/1000 |
| IHC | 1/100-1/500 |
| FCM | 1/10-1/50 |
![]() |
UBXN2A Antibody (C-term) (Cat. #P30949) western blot analysis in A2058 cell line lysates (35ug/lane).This demonstrates the UBXN2A antibody detected the UBXN2A protein (arrow). |
![]() |
UBXN2A Antibody (C-term) (Cat. #P30949) western blot analysis in mouse liver tissue lysates (35ug/lane).This demonstrates the UBXN2A antibody detected the UBXN2A protein (arrow). |
![]() |
UBXN2A Antibody (C-term) (Cat. #P30949) flow cytometric analysis of A2058 cells (right histogram) compared to a negative control cell (left histogram).FITC-conjugated goat-anti-rabbit secondary antibodies were used for the analysis. |
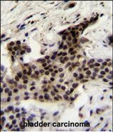
![]() |
UBXN2A Antibody (C-term) (Cat. #P30949)immunohistochemistry analysis in formalin fixed and paraffin embedded human bladder carcinoma followed by peroxidase conjugation of the secondary antibody and DAB staining.This data demonstrates the use of UBXN2A Antibody (C-term) for immunohistochemistry. Clinical relevance has not been evaluated. |
本公司的所有产品仅用于科学研究或者工业应用等非医疗目的,不可用于人类或动物的临床诊断或治疗,非药用,非食用。
暂无评论
本公司的所有产品仅用于科学研究或者工业应用等非医疗目的,不可用于人类或动物的临床诊断或治疗,非药用,非食用。
中文




发表回复